missing translation for 'onlineSavingsMsg'
Learn More

TC10 Rabbit anti-Human, Mouse, Rat, Clone: 10F7Y7, Novus Biologicals™

Rabbit Monoclonal Antibody

Brand:  Novus Biologicals NBP3-15915-100UL

 View more versions of this product

Product Code. 18309185

  • £386.00 / 100µL

Please to purchase this item. Need a web account? Register with us today!

This item is not returnable. View return policy

Description

Description

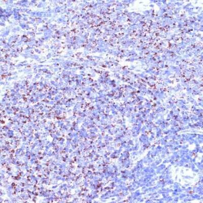
TC10 Monoclonal antibody specifically detects TC10 in Human, Mouse, Rat samples. It is validated for Western Blot, Immunohistochemistry, Immunohistochemistry (Paraffin)
TRUSTED_SUSTAINABILITY
Specifications

Specifications

TC10
Monoclonal
Unconjugated
PBS, 0.05% BSA, 50% glycerol, pH7.3
Rabbit
Affinity purified
RUO
Primary
Human, Mouse, Rat
Purified
Western Blot, Immunohistochemistry, Immunohistochemistry (Paraffin)
10F7Y7
Western Blot, Immunohistochemistry 1:50 - 1:200, Immunohistochemistry-Paraffin 1:200 - 1:500
ARHQTC10A, ras homolog gene family, member Q, Ras-like protein family member 7A, Ras-like protein TC10, RAS-like, family 7, member A, rho-related GTP-binding protein RhoQ, TC10RASL7A
Recombinant fusion protein containing a sequence corresponding to amino acids 100-205 of human TC10 (P17081).
100 μg
Signal Transduction
23433
Store at -20°C. Avoid freeze-thaw cycles.
IgG
Product Suggestions

Product Suggestions

Videos
SDS
Documents

Documents

Certificates
Promotions

Promotions

Product Content Correction

Your input is important to us. Please complete this form to provide feedback related to the content on this product.

Product Title

By clicking Submit, you acknowledge that you may be contacted by Fisher Scientific in regards to the feedback you have provided in this form. We will not share your information for any other purposes. All contact information provided shall also be maintained in accordance with our Privacy Policy.

Thank You! Your feedback has been submitted. Fisher Scientific is always working to improve our content for you. We appreciate your feedback.