missing translation for 'onlineSavingsMsg'
Learn More

Invitrogen™ PAK4 Monoclonal Antibody (K1E023_12G11), Invitrogen™

Mouse Monoclonal Antibody

Brand:  Invitrogen™ MA556314

 View more versions of this product

Product Code. 30209369

  • £760.00 / 200µg

Please to purchase this item. Need a web account? Register with us today!

This item is not returnable. View return policy

Description

Description

Sequence of this protein is as follows: RRDSPPPPAR ARQENGMPEE PATTARGGPG KAGSRGRFAG HSEAGGGSGD RRRAGPEKRP KSSREGSGGP QESSRDKRPL SGPDVGTPQP AGLASGAKLA AGRPFNTYPR ADTDHPSRGA

PAK4 is a serine/ threonine p21 activating kinase implicated in the reorganization of actin cytoskeleton and in the formation of filopodia. They are divided into two groups, the first of which include PAK1, 2 and 3, and can be activated by Cdc42/Rac binding. The second group includes PAK4, 5 and 6. These proteins are not activated by Cdc42/Rac binding. PAK4 was initially identified as a novel effector of Cdc42Hs. Co-expression of PAK4 and Cdc42Hs resulted in induction of filopodia and actin polymerization, showing that it is involved in cytoskeletal reorganization. Other experiments have shown PAK4 to be essential for embryonic viability and proper neuronal development. PAK4 has also been implicated in anchorage-independent growth of tumor cells and is required for activation of several cancer prosurvival pathways.
TRUSTED_SUSTAINABILITY
Specifications

Specifications

PAK4
Monoclonal
1 mg/mL
PBS with 50% glycerol, 0.5% BSA and 0.09% sodium azide
O96013
Pak4
Recombinant human PAK4 (immunogen range is 101-220).
200 μL
Primary
Human
Antibody
IgG1
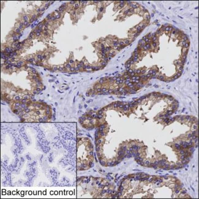
Immunohistochemistry (Paraffin), Immunoprecipitation, Western Blot
K1E023_12G11
Unconjugated
Pak4
5730488L07Rik; AW555722; hypothetical protein LOC431769; im:5916170; Kiaa1142; mKIAA1142; p21 (CDKN1A)-activated kinase 4; p21 (RAC1) activated kinase 4; p21 protein (Cdc42/Rac)-activated kinase 4; p21(CDKN1A)-activated kinase 4; p21-activated kinase 4; Pak4; PAK-4; protein kinase related to S. cerevisiae STE20, effector for Cdc42Hs; serine/threonine-protein kinase PAK 4; wu:fd12b01; zgc:92014
Mouse
Protein A
RUO
10298
Store at 4°C short term. For long term storage, store at -20°C, avoiding freeze/thaw cycles.
Liquid
Product Suggestions

Product Suggestions

Videos
SDS
Documents

Documents

Certificates
Promotions

Promotions

Product Content Correction

Your input is important to us. Please complete this form to provide feedback related to the content on this product.

Product Title

By clicking Submit, you acknowledge that you may be contacted by Fisher Scientific in regards to the feedback you have provided in this form. We will not share your information for any other purposes. All contact information provided shall also be maintained in accordance with our Privacy Policy.

Thank You! Your feedback has been submitted. Fisher Scientific is always working to improve our content for you. We appreciate your feedback.