missing translation for 'onlineSavingsMsg'
Learn More

Invitrogen™ NDUFA13 Recombinant Rabbit Monoclonal Antibody (24GB600)

Rabbit Recombinant Monoclonal Antibody

Brand:  Invitrogen™ MA557497

 View more versions of this product

Product Code. 30275838

  • £172.00 / 20µL

Please to purchase this item. Need a web account? Register with us today!

This item is not returnable. View return policy

Description

Description

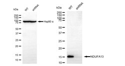
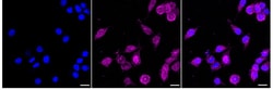
NDUFA13 Recombinant Monoclonal Antibody for Western Blot, ICC/IF

A novel gene associated with Retinoid-IFN-induced Mortality (GRIM) GRIM-19 gene was identified. Antisense expression of GRIM-19 confers a strong resistance against IFN/RA-induced death by reducing the intracellular levels of GRIM-19 protein. Overexpression of GRIM-19 enhances cell death in response to IFN/RA. GRIM-19 is primarily a nuclear protein whose expression is induced by the IFN/RA combination. These data indicate that GRIM-19 is a novel cell death-regulatory molecule.
TRUSTED_SUSTAINABILITY
Specifications

Specifications

NDUFA13
Recombinant Monoclonal
Unconjugated
Ndufa13
2700054G14Rik; AU022060; B16.6; CDA016; Cell d; Cell death regulatory protein GRIM-19; cell death-regulatory protein GRIM19; CGI-39; CI-B16.6; complex I B16.6 subunit; complex I-B16.6; FLJ58045; FLJ59191; gene associated with retinoic and IFN-induced mortality 19 protein; gene associated with retinoic and interferon-induced mortality 19 protein; Gene associated with retinoic-interferon-induced mortality 19 protein; genes associated with retinoid-IFN-induced mortality 19; GRIM19; GRIM-19; LOC100911483; mitochondrial NADH:ubiquinone oxidoreductase B16.6 subunit; NADH dehydrogenase (ubiquinone) 1 alpha subcomplex, 13; NADH dehydrogenase [ubiquinone] 1 alpha subcomplex subunit 13; NADH dehydrogenase [ubiquinone] 1 alpha subcomplex subunit 13-like; NADH:ubiquinone oxidoreductase subunit A13; NADH-ubiquinone oxidoreductase B16.6 subunit; Ndufa13; YjeF N-terminal domain-containing protein 3; YjeF_N3; Yjefn3
Rabbit
Affinity chromatography
RUO
51079
-20°C
Liquid
Western Blot, Immunocytochemistry
24GB600
PBS with 50% glycerol and 0.02% sodium azide; pH 7.4
Q9P0J0
Ndufa13
A synthesized peptide derived from human GRIM19 (aa 60-100).
20 μL
Primary
Human
Antibody
IgG
Product Suggestions

Product Suggestions

Videos
SDS
Documents

Documents

Certificates
Promotions

Promotions

Product Content Correction

Your input is important to us. Please complete this form to provide feedback related to the content on this product.

Product Title

By clicking Submit, you acknowledge that you may be contacted by Fisher Scientific in regards to the feedback you have provided in this form. We will not share your information for any other purposes. All contact information provided shall also be maintained in accordance with our Privacy Policy.

Thank You! Your feedback has been submitted. Fisher Scientific is always working to improve our content for you. We appreciate your feedback.