missing translation for 'onlineSavingsMsg'
Learn More

MMP-7 Rabbit anti-Human, Mouse, Rat, Clone: 9D8S10, Novus Biologicals™

Rabbit Monoclonal Antibody

Brand:  Novus Biologicals NBP3-16067-100UL

 View more versions of this product

Product Code. 18046734

  • £416.00 / 100µL

Please to purchase this item. Need a web account? Register with us today!

This item is not returnable. View return policy

Description

Description

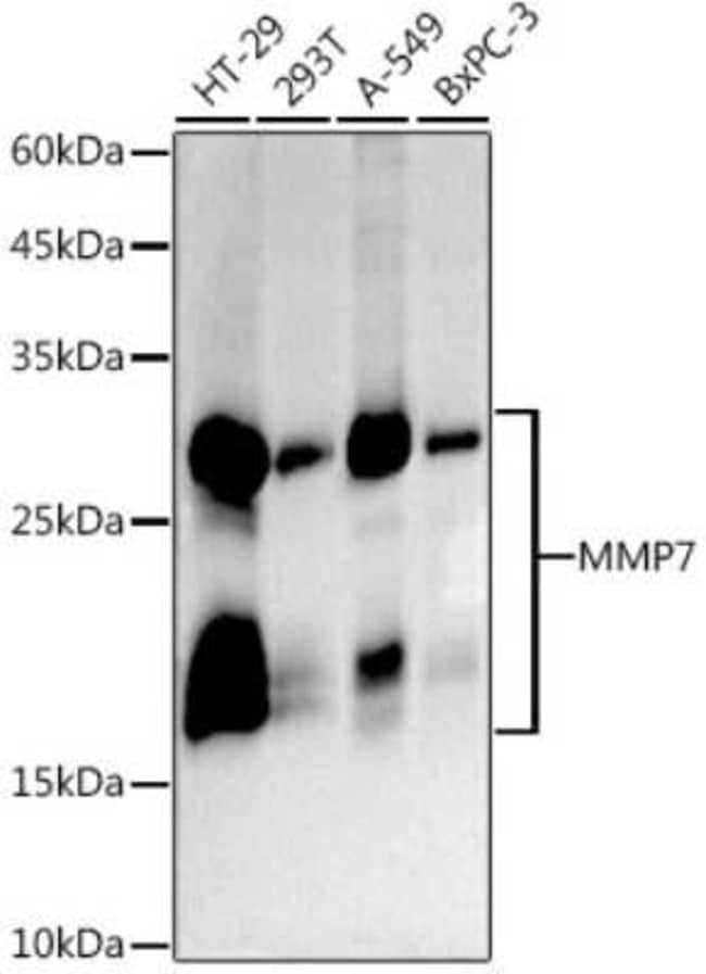
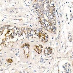
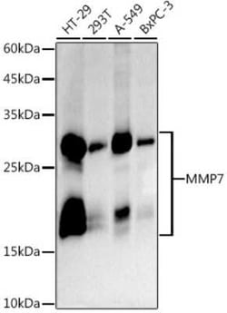
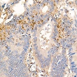
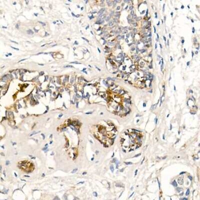
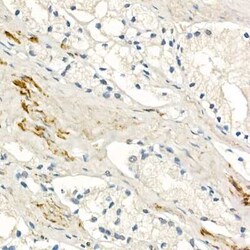
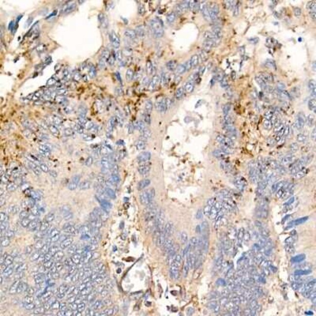
MMP-7 Monoclonal antibody specifically detects MMP-7 in Human, Mouse, Rat samples. It is validated for Western Blot, Immunohistochemistry, Immunohistochemistry (Paraffin)
TRUSTED_SUSTAINABILITY
Specifications

Specifications

MMP-7
Monoclonal
Unconjugated
PBS, 0.05% BSA, 50% glycerol, pH7.3
Rabbit
Affinity purified
RUO
Primary
Human, Mouse, Rat
Purified
Western Blot, Immunohistochemistry, Immunohistochemistry (Paraffin)
9D8S10
Western Blot 1:500 - 1:2000, Immunohistochemistry 1:50 - 1:200, Immunohistochemistry-Paraffin
EC 3.4.24, EC 3.4.24.23, matrilysin, matrin, matrix metallopeptidase 7 (matrilysin, uterine), matrix metalloproteinase 7 (matrilysin, uterine), Matrix metalloproteinase-7, MMP-7, MPSL1, PUMP1, PUMP-1, Pump-1 protease, uterine matrilysin, Uterine metalloproteinase
Recombinant protein of human MMP-7.
100 μg
Angiogenesis, Cancer, Cell Biology, Cellular Markers, Extracellular Matrix, Wnt Signaling Pathway
4316
Store at -20°C. Avoid freeze-thaw cycles.
IgG
Product Suggestions

Product Suggestions

Videos
SDS
Documents

Documents

Certificates
Promotions

Promotions

Product Content Correction

Your input is important to us. Please complete this form to provide feedback related to the content on this product.

Product Title

By clicking Submit, you acknowledge that you may be contacted by Fisher Scientific in regards to the feedback you have provided in this form. We will not share your information for any other purposes. All contact information provided shall also be maintained in accordance with our Privacy Policy.

Thank You! Your feedback has been submitted. Fisher Scientific is always working to improve our content for you. We appreciate your feedback.