missing translation for 'onlineSavingsMsg'
Learn More

Mineralocorticoid R/NR3C2 Antibody (H10E4C9F) - BSA Free, Novus Biologicals™

Mouse Monoclonal Antibody has been used in 1 publication

Brand:  Novus Biologicals NB300-562-0.025ml

 View more versions of this product

Product Code. 18517191

  • £169.00 / 25µL

Please to purchase this item. Need a web account? Register with us today!

This item is not returnable. View return policy

Description

Description

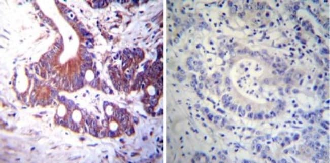
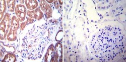
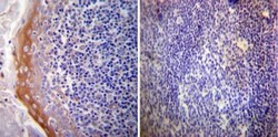
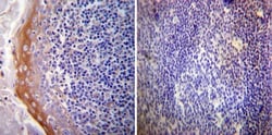
Mineralocorticoid R/NR3C2 Monoclonal specifically detects Mineralocorticoid R/NR3C2 in Human, Mouse, Rat, Chicken, Rabbit, Sheep samples. It is validated for Western Blot, Flow Cytometry, Immunohistochemistry, Immunocytochemistry/Immunofluorescence, Immunohistochemistry-Paraffin, Block/Neutralize.
TRUSTED_SUSTAINABILITY
Specifications

Specifications

Mineralocorticoid R/NR3C2
Monoclonal
1.4 mg/mL
Western Blot 1:1000, Flow Cytometry 1:20, Immunohistochemistry 1:100, Immunocytochemistry/Immunofluorescence 1:100 - 1:200, Immunohistochemistry-Paraffin 1:100, Blocking/Neutralizing 50 - 200 molar excess
FLJ41052, MGC133092, mineralocorticoid receptor 1, mineralocorticoid receptor delta, MLRmineralocorticoid receptor, MRMCRaldosterone receptor, NR3C2VIT, Nuclear receptor subfamily 3 group C member 2, nuclear receptor subfamily 3, group C, member 2
Mouse
Protein A purified
RUO
4306
Human
Purified
Western Blot
H10E4C9F
Unconjugated
P08235
NR3C2
Aldosterone-3
0.025 mL
Primary
Detects mineralocorticoid receptor (MR).
Store at -20°C. Avoid freeze/thaw cycles.
IgG1
Product Suggestions

Product Suggestions

Videos
SDS
Documents

Documents

Certificates
Promotions

Promotions

Product Content Correction

Your input is important to us. Please complete this form to provide feedback related to the content on this product.

Product Title

By clicking Submit, you acknowledge that you may be contacted by Fisher Scientific in regards to the feedback you have provided in this form. We will not share your information for any other purposes. All contact information provided shall also be maintained in accordance with our Privacy Policy.

Thank You! Your feedback has been submitted. Fisher Scientific is always working to improve our content for you. We appreciate your feedback.

For Research Use Only