missing translation for 'onlineSavingsMsg'
Learn More

MAD2L1 Rabbit anti-Human, Mouse, Rat, Polyclonal, Proteintech

Rabbit Polyclonal Antibody

Brand:  Proteintech 10337-1-AP-150UL

 View more versions of this product

Product Code. 16856663

  • £349.00 / 150µL

Please to purchase this item. Need a web account? Register with us today!

This item is not returnable. View return policy

Description

Description

MAD2L1 is a component of the mitotic spindle assembly checkpoint that prevents the onset of anaphase until all chromosomes are properly aligned at the metaphase plate. MAD2L1 is related to the MAD2L2 gene located on chromosome 1. A MAD2 pseudogene has been mapped to chromosome 14.
Specifications

Specifications

MAD2L1
Polyclonal
Unconjugated
MAD2L1
HSMAD2, MAD2, MAD2 like protein 1, MAD2L1
Rabbit
Antigen Affinity Chromatography
RUO
297176, 4085, 56150
-20°C
Liquid
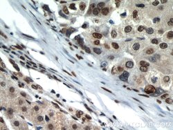
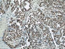
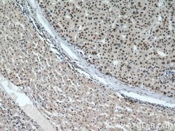
Immunocytochemistry, Immunofluorescence, Immunohistochemistry (Paraffin), Immunoprecipitation, Western Blot
0.21 mg/mL
PBS with 50% glycerol and 0.1% sodium azide; pH 7.3
Q13257, Q9Z1B5
Mad2l1
MAD2L1 Fusion Protein Ag0307
150 μL
Primary
Human, Mouse, Rat
Antibody
IgG
Product Suggestions

Product Suggestions

Videos
SDS
Documents

Documents

Certificates
Promotions

Promotions

Product Content Correction

Your input is important to us. Please complete this form to provide feedback related to the content on this product.

Product Title

By clicking Submit, you acknowledge that you may be contacted by Fisher Scientific in regards to the feedback you have provided in this form. We will not share your information for any other purposes. All contact information provided shall also be maintained in accordance with our Privacy Policy.

Thank You! Your feedback has been submitted. Fisher Scientific is always working to improve our content for you. We appreciate your feedback.