missing translation for 'onlineSavingsMsg'
Learn More

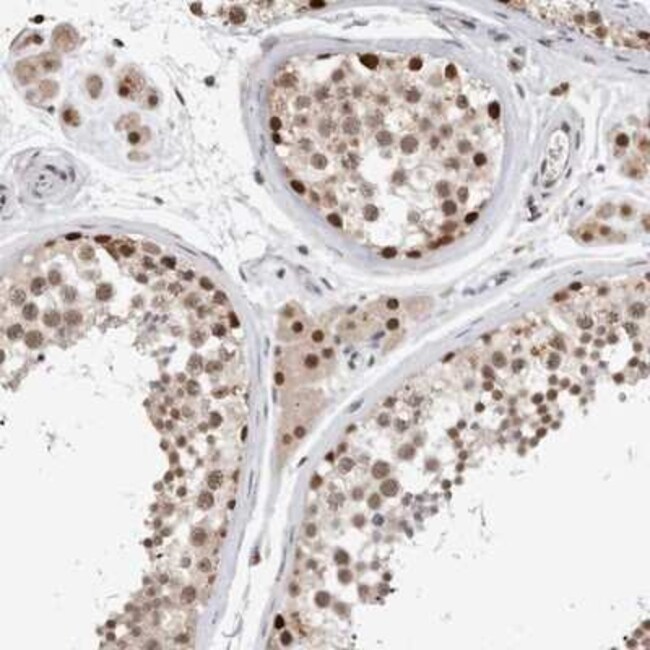
Ku80/XRCC5 Antibody, Novus Biologicals™

Rabbit Polyclonal Antibody

Brand:  Novus Biologicals NBP1-87829-25ul

 View more versions of this product

Product Code. 18478261

  • £240.00 / 25µL

Please to purchase this item. Need a web account? Register with us today!

This item is not returnable. View return policy

Description

Description

Ku80/XRCC5 Polyclonal antibody specifically detects Ku80/XRCC5 in Human samples. It is validated for Western Blot, Immunohistochemistry, Immunocytochemistry/ Immunofluorescence, Immunohistochemistry (Paraffin)
TRUSTED_SUSTAINABILITY
Specifications

Specifications

Ku80/XRCC5
Polyclonal
Western Blot 0.04-0.4 ug/mL, Immunohistochemistry 1:20 - 1:50, Immunocytochemistry/ Immunofluorescence 0.25-2 ug/mL, Immunohistochemistry-Paraffin 1:20 - 1:50
80kDa, ATP-dependent DNA helicase 2 subunit 2, ATP-dependent DNA helicase II 80 kDa subunit, CTC85, CTCBF, EC 3.6.4.-, FLJ39089, G22P2, KARP1, KARP-1, KU80, Ku86 autoantigen related protein 1,86 kDa subunit of Ku antigen, Ku86DNA repair protein XRCC5, KUB2, NFIV, Thyroid-lupus autoantigen, TLAA, X-ray repair complementing defective repair in Chinese hamster cells 5(double-strand-break rejoining)CTC box-binding factor 85 kDa subunit, X-ray repair complementing defective repair in Chinese hamster cells 5(double-strand-break rejoining; Ku autoantigen, 80kD), X-ray repair cross-complementing protein 5, X-ray repair, complementing defective, repair in Chinese hamster
This antibody was developed against Recombinant Protein corresponding to amino acids: LKEDIIQGFRYGSDIVPFSKVDEEQMKYKSEGKCFSVLGFCKSSQVQRRFFMGNQVLKVFAARDDEAAAVALSSLIHALDDLDMVAIVRYAYDKRANPQVGVAFPHIKHNYECLVYVQLPFMEDLRQYMFSSLKNSKKYAPTE
25 μL
Cancer, Chromatin Research, Core ESC Like Genes, DNA Double Strand Break Repair, DNA Repair, Non homologous end joining, Stem Cell Markers
7520
Store at 4C short term. Aliquot and store at -20C long term. Avoid freeze-thaw cycles.
IgG
Western Blot, Immunohistochemistry, Immunocytochemistry, Immunohistochemistry (Paraffin)
Unconjugated
PBS (pH 7.2) and 40% Glycerol
Rabbit
Immunogen affinity purified
RUO
Primary
Human
Purified
Product Suggestions

Product Suggestions

Videos
SDS
Documents

Documents

Certificates
Promotions

Promotions

Product Content Correction

Your input is important to us. Please complete this form to provide feedback related to the content on this product.

Product Title

By clicking Submit, you acknowledge that you may be contacted by Fisher Scientific in regards to the feedback you have provided in this form. We will not share your information for any other purposes. All contact information provided shall also be maintained in accordance with our Privacy Policy.

Thank You! Your feedback has been submitted. Fisher Scientific is always working to improve our content for you. We appreciate your feedback.