missing translation for 'onlineSavingsMsg'
Learn More

HSPA8/HSC71/Hsc70 Antibody (13D3), Novus Biologicals™

Mouse Monoclonal Antibody has been used in 19 publications

Brand:  Novus Biologicals NB120-2788-25ul

 View more versions of this product

Product Code. 18508303

  • £274.00 / 25µL

Please to purchase this item. Need a web account? Register with us today!

This item is not returnable. View return policy

Description

Description

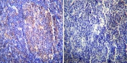
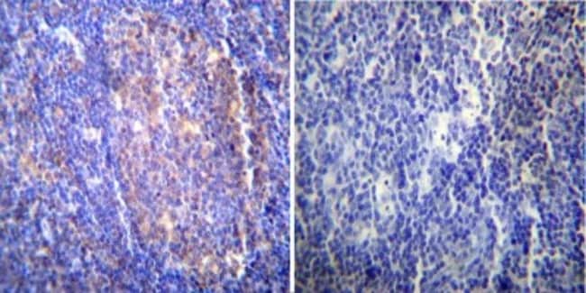
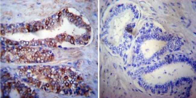
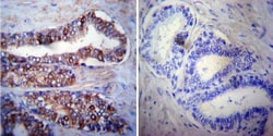
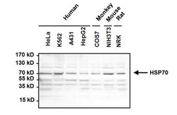
HSPA8/HSC71/Hsc70 Monoclonal specifically detects HSPA8/HSC71/Hsc70 in Human, Mouse, Rat, Bovine, Feline, Fish, Hamster, Primate samples. It is validated for Western Blot, Flow Cytometry, Immunohistochemistry, Immunocytochemistry/Immunofluorescence, Immunoprecipitation, Immunohistochemistry-Paraffin, Immunohistochemistry-Frozen, Immunoblotting, Block/Neutralize.
TRUSTED_SUSTAINABILITY
Specifications

Specifications

HSPA8/HSC71/Hsc70
Monoclonal
Unconjugated
P08107
HSPA8
Mouse spermatogenic cell protein.
Unpurified
RUO
Primary
This displays slight cross-reactivity to HSP 70.
Store at -20°C. Avoid freeze/thaw cycles.
IgM
Western Blot
13D3
Western Blot 1:1000 - 1:5000, Simple Western reported by internal validation, Flow Cytometry 1:10 - 1:1000, Immunohistochemistry 1:20 - 1:200, Immunocytochemistry/Immunofluorescence 1:20 - 1:200, Immunoprecipitation 2 ul, Immunohistochemistry-Paraffin 1:20 - 1:200, Immunohistochemistry-Frozen 1:20 - 1:200, Immunoblotting, Block/Neutralize
Heat shock 70 kDa protein 8, heat shock 70kD protein 8, heat shock 70kDa protein 8, heat shock cognate 71 kDa protein, heat shock cognate protein 54, heat shock cognate protein, 71-kDa, HSC54, HSC70heat shock 70kd protein 10, HSC71, HSP71, HSP73constitutive heat shock protein 70, HSPA10, LAP1, lipopolysaccharide-associated protein 1, LPS-associated protein 1, MGC131511, MGC29929, NIP71, N-myristoyltransferase inhibitor protein 71
Mouse
70 kDa
25 μL
Chaperone Mediated Autophagy (CMA)
3312
Human
Ascites
Product Suggestions

Product Suggestions

Videos
SDS
Documents

Documents

Certificates
Promotions

Promotions

Product Content Correction

Your input is important to us. Please complete this form to provide feedback related to the content on this product.

Product Title

By clicking Submit, you acknowledge that you may be contacted by Fisher Scientific in regards to the feedback you have provided in this form. We will not share your information for any other purposes. All contact information provided shall also be maintained in accordance with our Privacy Policy.

Thank You! Your feedback has been submitted. Fisher Scientific is always working to improve our content for you. We appreciate your feedback.

For Research Use Only