missing translation for 'onlineSavingsMsg'
Learn More

Invitrogen™ GAS2 Recombinant Rabbit Monoclonal Antibody (24GB3195)

Rabbit Recombinant Monoclonal Antibody

Brand:  Invitrogen™ MA556933

 View more versions of this product

Product Code. 30275025

  • £126.00 / 20µL

Please to purchase this item. Need a web account? Register with us today!

This item is not returnable. View return policy

Description

Description

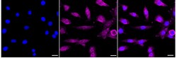
GAS2 Recombinant Monoclonal Antibody for Western Blot, ICC/IF, Flow

Gas2 is a 313 amino acid protein encoded by the human gene GAS2. Gas2 is thought to play a role in apoptosis by acting as a cell death substrate for caspases. Gas2, a component of the microfilament system, is cleaved by a caspase (caspase-3 and caspase-7) at Asparagine 278 during apoptosis. The cleaved form resulting from this dramatically induces the rearrangement of the Actin cytoskeleton and causes potent changes in the shape of the affected cells. Gas2 is believed to also be involved in the membrane ruffling process. During the G0-G1 transition phase Gas2 can be found phosphorylated on its serine residues. Gas2 is a cytoskeleton and peripheral membrane protein that co-localizes with Actin fibers at the cell border and along the stress fibers in growth-arrested fibroblasts. Gas2 is mainly membrane-associated but when hyperphosphorylated it will accumulate at membrane ruffles. Gas2 is specifically expressed at growth arrest and is ubiquitously expressed with highest levels found in liver, lung and kidney.
TRUSTED_SUSTAINABILITY
Specifications

Specifications

GAS2
Recombinant Monoclonal
Unconjugated
GAS2
GAS 2; Gas2; Gas-2; growth arrest specific 2; growth arrest-specific 2; growth arrest-specific protein 2; RGD1563167
Rabbit
Affinity chromatography
RUO
14453
-20°C
Liquid
Flow Cytometry, Western Blot, Immunocytochemistry
24GB3195
PBS with 50% glycerol and 0.02% sodium azide; pH 7.4
P11862
GAS2
A synthesized peptide derived from human GAS2 (aa 1-56).
20 μL
Primary
Mouse
Antibody
IgG
Product Suggestions

Product Suggestions

Videos
SDS
Documents

Documents

Certificates
Promotions

Promotions

Product Content Correction

Your input is important to us. Please complete this form to provide feedback related to the content on this product.

Product Title

By clicking Submit, you acknowledge that you may be contacted by Fisher Scientific in regards to the feedback you have provided in this form. We will not share your information for any other purposes. All contact information provided shall also be maintained in accordance with our Privacy Policy.

Thank You! Your feedback has been submitted. Fisher Scientific is always working to improve our content for you. We appreciate your feedback.