missing translation for 'onlineSavingsMsg'
Learn More

Invitrogen™ GABARAP Recombinant Rabbit Monoclonal Antibody (23GB5490), Invitrogen™

Rabbit Recombinant Monoclonal Antibody

Brand:  Invitrogen™ MA552867

 View more versions of this product

Product Code. 30088496

  • £162.00 / 20µL

Please to purchase this item. Need a web account? Register with us today!

This item is not returnable. View return policy

Description

Description

Gamma-aminobutyric acid (GABA) is the main inhibitory transmitter by increasing a Cl-conductance that inhibits neuronal firing in the central nervous system. It has been shown to activate both ionotropic (GABAA) and metabotropic (GABAB) receptors as well as a third class of receptors called GABAC. GABARAP (GABAA receptor-associated protein) links GABAA receptors to the cytoskeleton and may play a role in intracellular transport of GABAA receptors and its interaction with the cytoskeleton. GABARAP belongs to the MAP1 or ATG8 like family and recent studies show that MAPK15/ERK8 is acting through interaction with ATG8 family proteins to regulate autophagy.
TRUSTED_SUSTAINABILITY
Specifications

Specifications

GABARAP
Recombinant Monoclonal
Unconjugated
GABARAP
ATG8A; FLC3B; FLJ25768; GABA type A receptor-associated protein; GABA(A) receptor-associated protein; GABA-A receptor-associated protein; Gabarap; GABARAP a; GABARAP-a; gamma-aminobutyric acid receptor associated protein; gamma-aminobutyric acid receptor-associated protein; gamma-aminobutyric acid reseptor associated protein; HT004; hypothetical protein; MGC120154; MGC120155; MM46
Rabbit
Affinity chromatography
RUO
11337, 56486, 58974
-20°C
Liquid
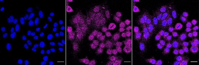
Flow Cytometry, Western Blot, Immunocytochemistry
23GB5490
PBS with 50% glycerol and 0.02% sodium azide; pH 7.4
O95166, P60517, Q9DCD6
GABARAP
A synthesized peptide derived from human GABARAP (10-64AA).
20 μL
Primary
Human, Mouse, Rat
Antibody
IgG
Product Suggestions

Product Suggestions

Videos
SDS
Documents

Documents

Certificates
Promotions

Promotions

Product Content Correction

Your input is important to us. Please complete this form to provide feedback related to the content on this product.

Product Title

By clicking Submit, you acknowledge that you may be contacted by Fisher Scientific in regards to the feedback you have provided in this form. We will not share your information for any other purposes. All contact information provided shall also be maintained in accordance with our Privacy Policy.

Thank You! Your feedback has been submitted. Fisher Scientific is always working to improve our content for you. We appreciate your feedback.