missing translation for 'onlineSavingsMsg'
Learn More
Learn More
DNAJC8 Antibody, Novus Biologicals™
Rabbit Polyclonal Antibody
Brand: Novus Biologicals NBP1-87015
This item is not returnable.
View return policy
Description
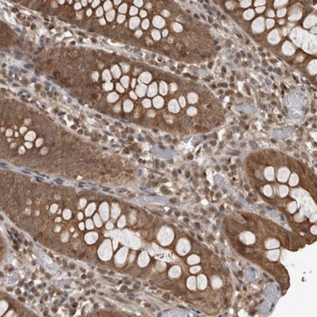
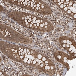
DNAJC8 Polyclonal specifically detects DNAJC8 in Human samples. It is validated for Western Blot, Simple Western, Immunohistochemistry, Immunohistochemistry-Paraffin.
Specifications
| DNAJC8 | |
| Polyclonal | |
| Western Blot 0.4 ug/ml, Simple Western 1:5, Immunohistochemistry, Immunohistochemistry-Paraffin 1:50 - 1:200 | |
| DnaJ (Hsp40) homolog, subfamily C, member 8, dnaJ homolog subfamily C member 8, HSPC331, SPF31Splicing protein spf31 | |
| Rabbit | |
| Affinity Purified | |
| RUO | |
| 22826 | |
| Human | |
| IgG |
| Western Blot, Immunohistochemistry, Immunohistochemistry (Paraffin) | |
| Unconjugated | |
| PBS (pH 7.2) and 40% Glycerol with 0.02% Sodium Azide | |
| DNAJC8 | |
| This antibody was developed against Recombinant Protein corresponding to amino acids:ELEIKRKEREAKEMHERKRQREEEIEAQEKAKREREWQKNFEESRDGRVDSWRNFQANTKGKKEKKNRTFLRPPKVK | |
| 0.1 mL | |
| Primary | |
| Specificity of antibody verified on a Protein Array containing target protein plus 383 other non-specific proteins. | |
| Store at 4C short term. Aliquot and store at -20C long term. Avoid freeze-thaw cycles. |
Product Content Correction
Your input is important to us. Please complete this form to provide feedback related to the content on this product.
Product Title
For Research Use Only
Spot an opportunity for improvement?Share a Content Correction