missing translation for 'onlineSavingsMsg'
Learn More

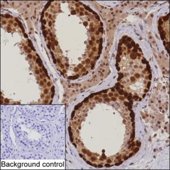
Invitrogen™ DNAJB6 Monoclonal Antibody (K24018_5D5), Invitrogen™

Mouse Monoclonal Antibody

Brand:  Invitrogen™ MA555688

 View more versions of this product

Product Code. 30211253

  • £416.00 / 50µg

Please to purchase this item. Need a web account? Register with us today!

This item is not returnable. View return policy

Description

Description

Sequence of this protein is as follows: QRHASPEDIK KAYRKLALKW HPDKNPENKE EAERKFKQVA EAYEVLSDAK KRDIYDKYGK EGLNGGGGGG SHFDSPFEFG FTFRNPDDVF REFFGGRDPF SFDFFEDPFE DFFGNRRGPR GSRSRGTGSF FSAFSGFPSF GSGFSSFDTG FTSFGSLGHG GLTSFSSTSF GGSGMGNFKS ISTSTKMVNG RKITTKRIVE NGQERVEVEE DGQLKSLTIN GVADDDALAE

This gene encodes a member of the DNAJ protein family. DNAJ family members are characterized by a highly conserved amino acid stretch called the 'J-domain' and function as one of the two major classes of molecular chaperones involved in a wide range of cellular events, such as protein folding and oligomeric protein complex assembly. This family member may also play a role in polyglutamine aggregation in specific neurons. Alternative splicing of this gene results in multiple transcript variants; however, not all variants have been fully described.
TRUSTED_SUSTAINABILITY
Specifications

Specifications

DNAJB6
Monoclonal
1 mg/mL
PBS with 50% glycerol, 0.5% BSA and 0.09% sodium azide
O54946, O75190
DNAJB6
Recombinant human DNAJB6 (immunogen range is 11-240).
50 μL
Primary
Human, Mouse
Antibody
IgG2a
Immunohistochemistry (Paraffin), Western Blot
K24018_5D5
Unconjugated
DNAJB6
DJ4; DnaJ; DnaJ (Hsp40) homolog, subfamily B, member 6; DnaJ heat shock protein family (Hsp40) member B6; dnaJ homolog subfamily B member 6; DNAJB6; dnajb6 {ECO:0000312; DnaJ-like 2 protein; EMBL:AAH78908.1, ECO:0000312; Heat shock protein J2; HHDJ1; Hsj2; HSJ-2; Hsp40 homolog; LGMD1D; LGMD1E; mammalian relative of DnaJ; mDj4; MRJ; MSJ1; MSJ-1; RGD:1308207}
Mouse
Protein A
RUO
10049, 23950
Store at 4°C short term. For long term storage, store at -20°C, avoiding freeze/thaw cycles.
Liquid
Product Suggestions

Product Suggestions

Videos
SDS
Documents

Documents

Certificates
Promotions

Promotions

Product Content Correction

Your input is important to us. Please complete this form to provide feedback related to the content on this product.

Product Title

By clicking Submit, you acknowledge that you may be contacted by Fisher Scientific in regards to the feedback you have provided in this form. We will not share your information for any other purposes. All contact information provided shall also be maintained in accordance with our Privacy Policy.

Thank You! Your feedback has been submitted. Fisher Scientific is always working to improve our content for you. We appreciate your feedback.