missing translation for 'onlineSavingsMsg'
Learn More

DMBT1 Rabbit anti-Human, Polyclonal, Proteintech

Rabbit Polyclonal Antibody

Brand:  Proteintech 27069-1-AP-150UL

 View more versions of this product

Product Code. 16815365

  • £349.00 / 150µL

Please to purchase this item. Need a web account? Register with us today!

This item is not returnable. View return policy

Description

Description

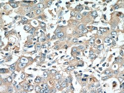
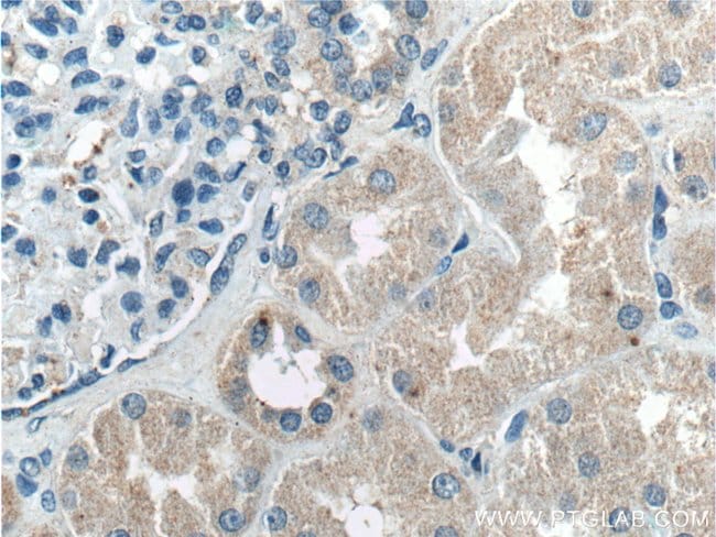
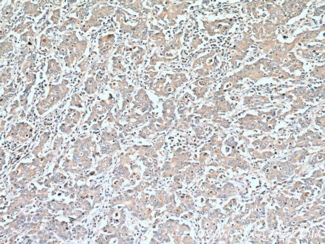
Glycoprotein-340 is member of the scavenger receptor superfamily and has been identified as a putative SP-D receptor. Gp-340 has been shown to bind SP-D in a calcium dependent manner through a protein-protein interaction. Like SP-D, gp-340 is mainly found in lung tissue and immunohistochemistry revealed high expression in alveolar macrophages. An identical protein is present in saliva (salivary agglutinin) and both forms are encoded by the gene DMBT1.
Specifications

Specifications

DMBT1
Polyclonal
Unconjugated
DMBT1
DMBT1, Glycoprotein 340, Gp 340, GP340, Hensin, muclin, SAG, Salivary agglutinin, SALSA
Rabbit
Antigen Affinity Chromatography
RUO
1755
-20°C
Liquid
Immunohistochemistry (Paraffin)
0.2 mg/mL
PBS with 50% glycerol and 0.1% sodium azide; pH 7.3
Q9UGM3
DMBT1
DMBT1 Fusion Protein Ag16229
150 μL
Primary
Human
Antibody
IgG
Product Suggestions

Product Suggestions

Videos
SDS
Documents

Documents

Certificates
Promotions

Promotions

Product Content Correction

Your input is important to us. Please complete this form to provide feedback related to the content on this product.

Product Title

By clicking Submit, you acknowledge that you may be contacted by Fisher Scientific in regards to the feedback you have provided in this form. We will not share your information for any other purposes. All contact information provided shall also be maintained in accordance with our Privacy Policy.

Thank You! Your feedback has been submitted. Fisher Scientific is always working to improve our content for you. We appreciate your feedback.