missing translation for 'onlineSavingsMsg'
Learn More

Calponin 1 Antibody (1H5B5) - BSA Free, Novus Biologicals™

Mouse Monoclonal Antibody

Brand:  Novus Biologicals NBP2-52445-0.025mg

 View more versions of this product

Product Code. 18643837

  • £161.00 / 0.03mg

Please to purchase this item. Need a web account? Register with us today!

This item is not returnable. View return policy

Description

Description

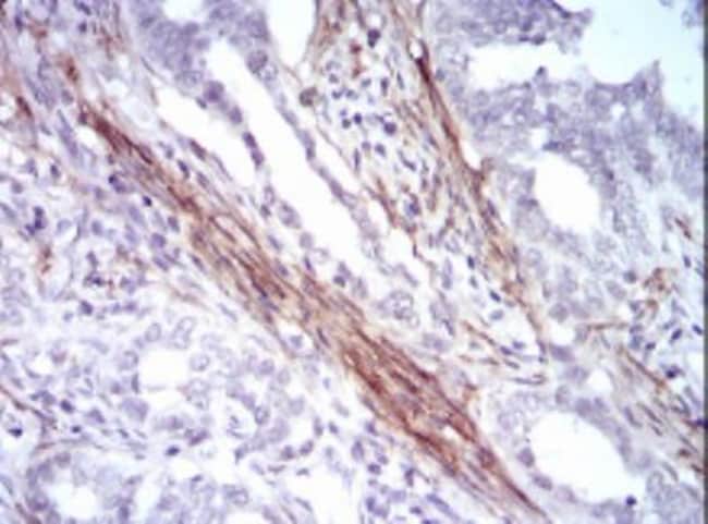
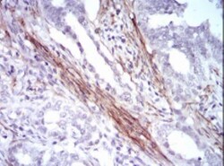
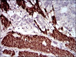
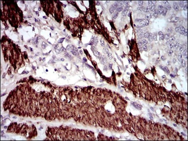
Calponin 1 Monoclonal specifically detects Calponin 1 in Human samples. It is validated for Western Blot, ELISA, Immunohistochemistry, Immunohistochemistry-Paraffin.
TRUSTED_SUSTAINABILITY
Specifications

Specifications

Calponin 1
Monoclonal
1 mg/mL
Western Blot 1:500-1:2000, ELISA 1:10000, Immunohistochemistry 1:200-1:1000, Immunohistochemistry-Paraffin 1:10-1:500
Basic calponin, calponin 1, basic, smooth muscle, Calponin H1, smooth muscle, calponins, basic, Sm-Calp, SMCCcalponin-1
Mouse
33.2 kDa
0.025 mg
Cancer, Cytoskeleton Markers
1264
Human
Purified
Western Blot, ELISA, Immunohistochemistry, Immunohistochemistry (Paraffin), Immunohistochemistry (Paraffin)
1H5B5
Unconjugated
PBS with 0.05% Sodium Azide
CNN1
Purified recombinant fragment of human CNN1 (AA: 16-165) expressed in E. Coli.
Protein A or G purified
RUO
Primary
Specificity of antibody verified on a Protein Array containing target protein plus 383 other non-specific proteins.
Store at 4°C short term. Aliquot and store at -20°C long term. Avoid freeze/thaw cycles.
IgG1
Product Suggestions

Product Suggestions

Videos
SDS
Documents

Documents

Certificates
Promotions

Promotions

Product Content Correction

Your input is important to us. Please complete this form to provide feedback related to the content on this product.

Product Title

By clicking Submit, you acknowledge that you may be contacted by Fisher Scientific in regards to the feedback you have provided in this form. We will not share your information for any other purposes. All contact information provided shall also be maintained in accordance with our Privacy Policy.

Thank You! Your feedback has been submitted. Fisher Scientific is always working to improve our content for you. We appreciate your feedback.