missing translation for 'onlineSavingsMsg'
Learn More
Learn More
Invitrogen™ CD200 Polyclonal Antibody, Invitrogen™

Rabbit Polyclonal Antibody
Brand: Invitrogen™ PA5145283
This item is not returnable.
View return policy
Description
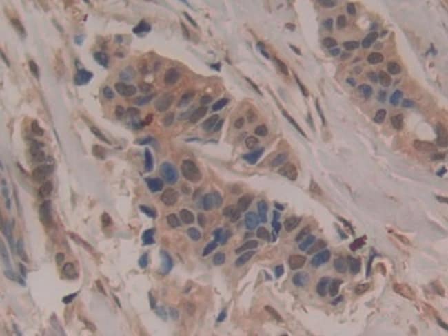
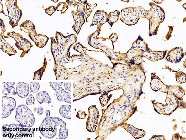
CD200 is a type-1 membrane glycoprotein in the immunoglobulin superfamily, featuring two immunoglobulin domains. It is widely expressed on various cells, including B and T cells, keratinocytes, nerve cells, follicular dendritic cells, ovarian cells, and trophoblasts. CD200 interacts with CD200R on myeloid cells, inhibiting macrophage activation, reducing IL-6 production, and attenuating lymphocyte activation. It also prevents mast cell degranulation and decreases TNF-alpha and IL-13 secretion, playing a role in immune regulation and maternal tolerance. Homologues of CD200 are found in herpesviruses and poxviruses, indicating a conserved immune modulation function. CD200 has multiple alternatively spliced transcript variants, contributing to its functional diversity. Diseases linked to CD200 dysfunction include Mantle Cell Lymphoma and Primary Hypertrophic Osteoarthropathy, highlighting its importance in health and disease.
Specifications
| CD200 | |
| Polyclonal | |
| Unconjugated | |
| Cd200 | |
| antigen identified by monoclonal antibody MRC OX-2; CD200; Cd200 antigen; Cd200 molecule; cell surface protein (thymocyte antigen identified by monoclonal antibody MRC-OX2); Cspmo2; hypothetical protein LOC534910; MOX1; MOX2; MRC; MRC OX-2 antigen; MRCOX2; My033; OX2; OX-2; OX-2 membrane glycoprotein | |
| Rabbit | |
| Antigen affinity chromatography, Protein A | |
| RUO | |
| 17470, 4345 | |
| Store at 4°C short term. For long term storage, store at -20°C, avoiding freeze/thaw cycles. | |
| Liquid |
| Immunohistochemistry (Paraffin), Western Blot, Western Blot | |
| 0.5 mg/mL | |
| PBS with 50% glycerol and 0.05% Proclin 300; pH 7.4 | |
| O54901, P41217 | |
| Cd200 | |
| Recombinant Human CD200 protein, Gln31-Gly232 (Accession #P41217). | |
| 200 μL | |
| Primary | |
| Human, Mouse | |
| Antibody | |
| IgG |
Product Content Correction
Your input is important to us. Please complete this form to provide feedback related to the content on this product.
Product Title
Spot an opportunity for improvement?Share a Content Correction