missing translation for 'onlineSavingsMsg'
Learn More

53BP1 Antibody - BSA Free, Novus Biologicals™

Rabbit Polyclonal Antibody

£248.00 - £458.00

Specifications

Antigen 53BP1
Concentration 1 mg/mL
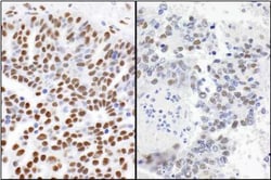
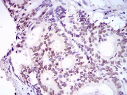
Dilution Western Blot 1:5000-1:25000, Chromatin Immunoprecipitation reported in scientific literature (PMID 24591601), Flow Cytometry 1.5 ug/ml, Immunohistochemistry reported in scientific literature (PMID 24987917), Immunocytochemistry/Immunofluorescence 1:1000-1:5000, Immunoprecipitation reported in scientific literature (PMID 25645366), Immunohistochemistry-Paraffin 1:1000-1:5000. Use reported in scientific literature (PMID 27653664), Immunohistochemistry-Frozen reported by customer review, Immunoblotting reported in multiple pieces of scientific literature, In-situ Hybridization reported in scientific literature (PMID 34988401; 33122290), Flow (Intracellular), Chromatin Immunoprecipitation (ChIP), Knockout Validated reported in scientific literature (PMID 26601238), KnockDown Validated
Applications Western Blot, ChIP Assay, Flow Cytometry, Immunohistochemistry, Immunocytochemistry, Immunofluorescence, Immunoprecipitation, Immunohistochemistry (Paraffin), Immunohistochemistry (Frozen), Immunoblot, In Situ Hybridization (ISH), Immunoassay, KnockDown
Classification Polyclonal
View More Specs

Products 2
Product Code Brand Quantity Price Quantity & Availability  
Product Code Brand Quantity Price Quantity & Availability  
18735403
View Documents
Novus Biologicals
NB100-304SS
0.025 mL
£248.00
25µg
View alternative products
Save Up to 
»
Please to purchase this item. Need a web account? Register with us today!
18799923
View Documents
Novus Biologicals
NB100-304
£458.00
0.10mg
View alternative products
Save Up to 
»
Please to purchase this item. Need a web account? Register with us today!
Description

Description

53BP1 Polyclonal specifically detects 53BP1 in Human, Mouse, Rat, Bat, Bovine, Canine, Fish, Goat, Primate samples. It is validated for Western Blot, Chromatin Immunoprecipitation, Flow Cytometry, Immunohistochemistry, Immunocytochemistry/Immunofluorescence, Immunoprecipitation, Immunohistochemistry-Paraffin, Immunohistochemistry-Frozen, Immunoblotting, In-situ Hybridization, Flow (Intracellular), Knockout Validated, Knockdown Validated.
Specifications

Specifications

53BP1
Western Blot 1:5000-1:25000, Chromatin Immunoprecipitation reported in scientific literature (PMID 24591601), Flow Cytometry 1.5 ug/ml, Immunohistochemistry reported in scientific literature (PMID 24987917), Immunocytochemistry/Immunofluorescence 1:1000-1:5000, Immunoprecipitation reported in scientific literature (PMID 25645366), Immunohistochemistry-Paraffin 1:1000-1:5000. Use reported in scientific literature (PMID 27653664), Immunohistochemistry-Frozen reported by customer review, Immunoblotting reported in multiple pieces of scientific literature, In-situ Hybridization reported in scientific literature (PMID 34988401; 33122290), Flow (Intracellular), Chromatin Immunoprecipitation (ChIP), Knockout Validated reported in scientific literature (PMID 26601238), KnockDown Validated
Polyclonal
Rabbit
Breast Cancer, Cancer, Checkpoint signaling, DNA Double Strand Break Repair, DNA Repair, Tumor Suppressors
PBS with 0.05% Sodium Azide
53BP1, p202, p53-binding protein 1, p53bp1, TDRD30, TP53-Binding Protein 1, tumor protein 53-binding protein, 1, tumor protein p53 binding protein 1, tumor protein p53-binding protein, 1, tumor suppressor p53-binding protein 1
TP53BP1
IgG
Affinity Purified
Human, mouse, rat and goat. Human has been tested in WB, IHC-P and ICC/IF, mouse and goat have only been tested in ICC/IF. Primate reactivity reported in scientific literature (PMID: 18389475).Fish reactivity reported in scientific literature (PMID: 25516420).
1 mg/mL
Western Blot, ChIP Assay, Flow Cytometry, Immunohistochemistry, Immunocytochemistry, Immunofluorescence, Immunoprecipitation, Immunohistochemistry (Paraffin), Immunohistochemistry (Frozen), Immunoblot, In Situ Hybridization (ISH), Immunoassay, KnockDown
Unconjugated
RUO
Human, Mouse, Rat, Bat, Bovine, Canine, Fish, Goat, Primate
Q12888
7158
The epitope recognized by 53BP1 Antibody maps to a region between residues 350 and 400 of human 53BP1 [NP_005648.1].
Primary
Store at -20 degreesC.
214 kDa
Videos
SDS
Documents

Documents

Product Certifications

For Research Use Only

Product Content Correction

Your input is important to us. Please complete this form to provide feedback related to the content on this product.

Product Title

By clicking Submit, you acknowledge that you may be contacted by Fisher Scientific in regards to the feedback you have provided in this form. We will not share your information for any other purposes. All contact information provided shall also be maintained in accordance with our Privacy Policy.

Thank You! Your feedback has been submitted. Fisher Scientific is always working to improve our content for you. We appreciate your feedback.