missing translation for 'onlineSavingsMsg'
Learn More

CD39L4/ENTPD5 Antibody, Novus Biologicals™

Rabbit Polyclonal Antibody

Brand:  Novus Biologicals NBP2-99732-100ul

 View more versions of this product

Product Code. 18645455

  • £255.00 / 100µL

Please to purchase this item. Need a web account? Register with us today!

This item is not returnable. View return policy

Description

Description

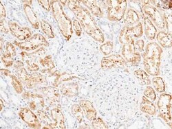
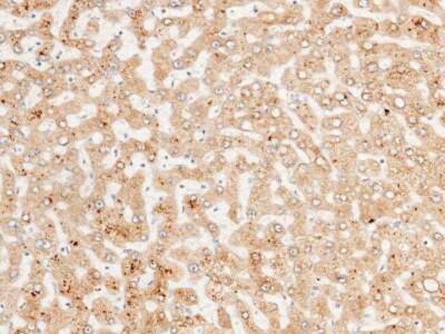
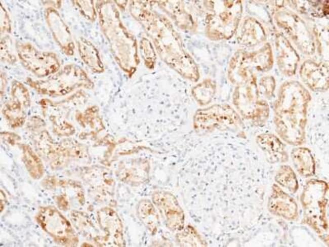
CD39L4/ENTPD5 Polyclonal antibody specifically detects CD39L4/ENTPD5 in Human samples. It is validated for ELISA, Immunohistochemistry (Paraffin)
TRUSTED_SUSTAINABILITY
Specifications

Specifications

CD39L4/ENTPD5
Polyclonal
ELISA 1:5000-1:10000, Immunohistochemistry-Paraffin 1:500-1:2000
CD39 antigen-like 4, CD39L4NTPDase 5, CD39-like 4, EC 3.6.1, EC 3.6.1.42, EC 3.6.1.6, ectonucleoside triphosphate diphosphohydrolase 5, ER-UDPase, GDPase ENTPD5, Guanosine-diphosphatase ENTPD5, MGC163357, MGC163359, NTPDase-5, Nucleoside diphosphatase, PCPH, Pcph proto-oncogene protein, proto-oncogene CPH, UDPase ENTPD5, Uridine-diphosphatase ENTPD5
Produced in rabbits immunized with purified, recombinant Human CD39L4/ENTPD5 (Accession#: O75356; Met1-His428)
100 μg
Lipid and Metabolism
957
Store at 4°C short term. Aliquot and store at -20°C long term. Avoid freeze-thaw cycles.
IgG
ELISA, Immunohistochemistry (Paraffin)
Unconjugated
0.2 um filtered solution in PBS
Rabbit
Antigen and protein A Affinity-purified
RUO
Primary
Human
Purified
Product Suggestions

Product Suggestions

Videos
SDS
Documents

Documents

Certificates
Promotions

Promotions

Product Content Correction

Your input is important to us. Please complete this form to provide feedback related to the content on this product.

Product Title

By clicking Submit, you acknowledge that you may be contacted by Fisher Scientific in regards to the feedback you have provided in this form. We will not share your information for any other purposes. All contact information provided shall also be maintained in accordance with our Privacy Policy.

Thank You! Your feedback has been submitted. Fisher Scientific is always working to improve our content for you. We appreciate your feedback.