missing translation for 'onlineSavingsMsg'
Learn More
Learn More
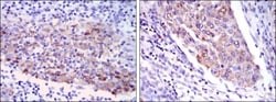
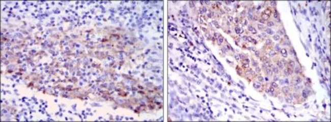
MMP-1 Antibody (6A5) - BSA Free, Novus Biologicals™
Mouse Monoclonal Antibody has been used in 3 publications
Brand: Novus Biologicals NBP2-22123SS
This item is not returnable.
View return policy
Description
MMP-1 Monoclonal specifically detects MMP-1 in Human, Mouse samples. It is validated for Western Blot, Flow Cytometry, ELISA, Immunohistochemistry, Immunocytochemistry/Immunofluorescence, Immunohistochemistry-Paraffin.
Product Content Correction
Your input is important to us. Please complete this form to provide feedback related to the content on this product.
Product Title
For Research Use Only
Spot an opportunity for improvement?Share a Content Correction