missing translation for 'onlineSavingsMsg'
Learn More

UGT Antibody - BSA Free, Novus Biologicals™

Rabbit Polyclonal Antibody

Brand:  Novus Biologicals NBP2-93330-0.1ml

 View more versions of this product

Product Code. 18687541

  • £375.00 / 0.01mL

Please to purchase this item. Need a web account? Register with us today!

This item is not returnable. View return policy

Description

Description

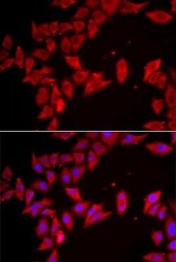
UGT Polyclonal antibody specifically detects UGT in Human samples. It is validated for Immunocytochemistry/ Immunofluorescence
TRUSTED_SUSTAINABILITY
Specifications

Specifications

UGT
Polyclonal
Immunocytochemistry/ Immunofluorescence 1:50-1:200
solute carrier family 35 (UDP-galactose transporter), member 2, solute carrier family 35 (UDP-galactose transporter), member A2, UDP-galactose translocator, UGALTUGAT, UGT1, UGT2UDP-galactose transporter, UGTLSolute carrier family 35 member A2, UGTUDP-Gal-Tr
Recombinant fusion protein containing a sequence corresponding to amino acids 1-242 of human SLC35A2 (NP_001027460.1). MAAVGAGGSTAAPGPGAVSAGALEPGTASAAHRRLKYISLAVLVVQNASLILSIRYARTLPGDRFFATTAVVMAEVLKGLTCLLLLFAQKRGNVKHLVLFLHEAVLVQYVDTLKLAVPSLIYTLQNNLQYVAISNLPAATFQPSPRCSQSHSLCLCLRLRALRSPAASRAATTTAAVFPPWRPHHGALSAKVSAGEVRAGSNGGTQGRGTGVEGVGHLQDPSRHPPGPGSSGFGRWSFLPGH
0.1 mL
Primary
Human
Purified
Immunofluorescence
Unconjugated
PBS (pH 7.3), 50% glycerol
Rabbit
Affinity purified
RUO
7355
Store at -20°C. Avoid freeze-thaw cycles.
IgG
Product Suggestions

Product Suggestions

Videos
SDS
Documents

Documents

Certificates
Promotions

Promotions

Product Content Correction

Your input is important to us. Please complete this form to provide feedback related to the content on this product.

Product Title

By clicking Submit, you acknowledge that you may be contacted by Fisher Scientific in regards to the feedback you have provided in this form. We will not share your information for any other purposes. All contact information provided shall also be maintained in accordance with our Privacy Policy.

Thank You! Your feedback has been submitted. Fisher Scientific is always working to improve our content for you. We appreciate your feedback.