missing translation for 'onlineSavingsMsg'
Learn More
Learn More
Invitrogen™ ZNF786 Polyclonal Antibody

Rabbit Polyclonal Antibody
Brand: Invitrogen™ PA599791
This item is not returnable.
View return policy
Description
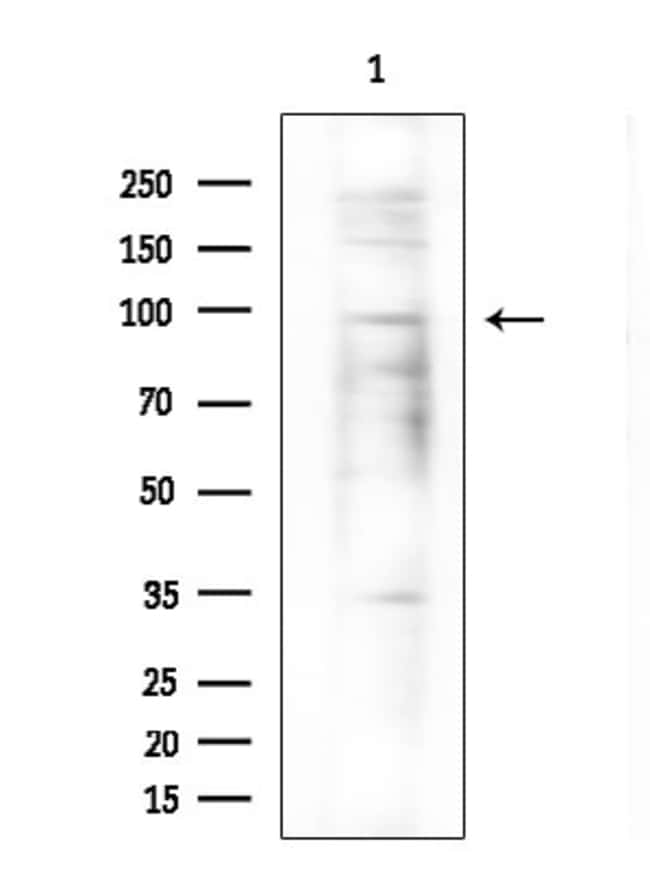
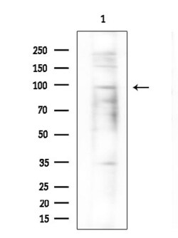
Antibody detects endogenous levels of total ZNF786.
Zinc-finger proteins contain DNA-binding domains and have a wide variety of functions, most of which encompass some form of transcriptional activation or repression. The majority of zinc-finger proteins contain a Krüppeltype DNA binding domain and a KRAB domain, which is thought to interact with KAP1, thereby recruiting histone modifying proteins. ZNF786 (zinc finger protein 786) is a 782 amino acid protein that belongs to the Krüppel C2H2-type zinc-finger protein family and is thought to function in transcriptional regulation. Localizing to nucleus, ZNF786 contains 16 C2H2-type zinc fingers, a single KRAB domain and is encoded by a gene that maps to human chromosome 7q36.1.
Specifications
| ZNF786 | |
| Polyclonal | |
| Unconjugated | |
| ZNF786 | |
| A730012O14Rik; Zfp786; Zinc finger protein 786; Znf786 | |
| Rabbit | |
| Affinity Chromatography | |
| RUO | |
| 136051 | |
| -20°C | |
| Liquid |
| Western Blot | |
| 1 mg/mL | |
| PBS with 50% glycerol and 0.02% sodium azide; pH 7.4 | |
| Q8N393 | |
| ZNF786 | |
| A synthesized peptide derived from human ZNF786(Accession Q8N393), corresponding to amino acid residues R265-R315. | |
| 100 μL | |
| Primary | |
| Human | |
| Antibody | |
| IgG |
Product Content Correction
Your input is important to us. Please complete this form to provide feedback related to the content on this product.
Product Title
Spot an opportunity for improvement?Share a Content Correction