missing translation for 'onlineSavingsMsg'
Learn More
Learn More
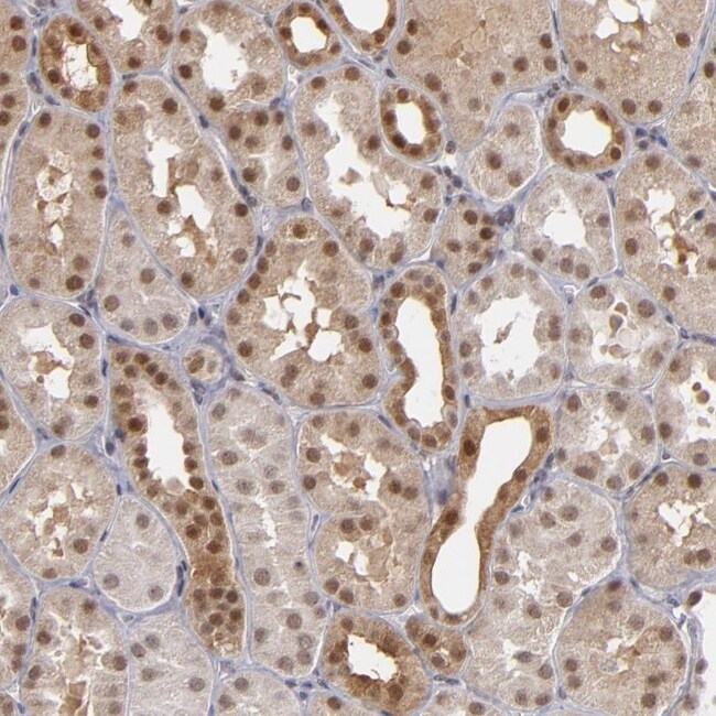
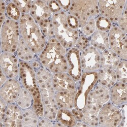
Invitrogen™ ZNF75A Polyclonal Antibody

Rabbit Polyclonal Antibody
Brand: Invitrogen™ PA551622
This item is not returnable.
View return policy
Description
Immunogen sequence: QEEWELLDPT QKALYNDVMQ ENYETVISLA LFVLPKPKVI SCLEQGEEPW VQVSPEFKDS AGKSPTGLKL KNDTENHQPV SLSDLEIQAS AGVISKKAKV KVPQKTAGKE NHFDMHRVGK WHQDFPVKKR KKLSTWKQEL LKLM Highest antigen sequence identity to the following orthologs: Mouse - 32%, Rat - 30%.
May be involved in transcriptional regulation.
Specifications
| ZNF75A | |
| Polyclonal | |
| Unconjugated | |
| ZNF75A | |
| Zinc finger protein 75A; ZNF75A | |
| Rabbit | |
| Antigen affinity chromatography | |
| RUO | |
| 7627 | |
| Store at 4°C short term. For long term storage, store at -20°C, avoiding freeze/thaw cycles. | |
| Liquid |
| Immunohistochemistry (Paraffin), Western Blot, Immunocytochemistry | |
| 0.1 mg/mL | |
| PBS with 40% glycerol and 0.02% sodium azide; pH 7.2 | |
| Q96N20 | |
| ZNF75A | |
| Recombinant protein corresponding to Human ZNF75A. Recombinant protein control fragment (Product #RP-99722). | |
| 100 μL | |
| Primary | |
| Human | |
| Antibody | |
| IgG |
Product Content Correction
Your input is important to us. Please complete this form to provide feedback related to the content on this product.
Product Title
Spot an opportunity for improvement?Share a Content Correction