missing translation for 'onlineSavingsMsg'
Learn More

ZNF652 Rabbit anti-Human, Polyclonal, Novus Biologicals™

Product Code. 18353371 Shop All Bio Techne Products
Change view
Click to view available options
Quantity:
0.1 mL
Unit Size:
0.10mL
1 product options available for selection
Product selection table with 1 available options. Use arrow keys to navigate and Enter or Space to select.
Product Code. Quantity unitSize
18353371 0.1 mL 0.10mL
Use arrow keys to navigate between rows. Press Enter or Space to select a product option. 1 options available.
1 options
This item is not returnable. View return policy
Product Code. 18353371 Supplier Novus Biologicals Supplier No. NBP2843600.1ML

Please to purchase this item. Need a web account? Register with us today!

This item is not returnable. View return policy

Rabbit Polyclonal Antibody

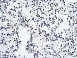
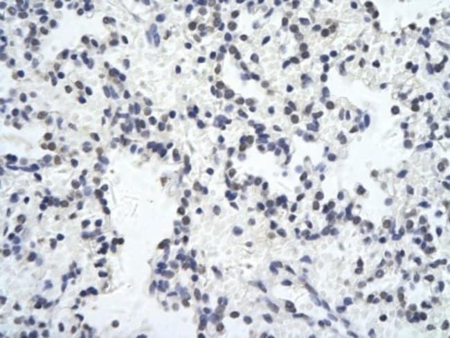
ZNF652 Polyclonal specifically detects ZNF652 in Human samples. It is validated for Western Blot, Immunohistochemistry, Immunohistochemistry-Paraffin.
TRUSTED_SUSTAINABILITY

Specifications

Antigen ZNF652
Applications Western Blot, Immunohistochemistry, Immunohistochemistry (Paraffin)
Classification Polyclonal
Conjugate Unconjugated
Formulation PBS, 2% Sucrose
Gene Alias DKFZp781E2122, zinc finger protein 652
Host Species Rabbit
Immunogen The immunogen is a synthetic peptide directed towards the N-terminal region of human ZNF652
Purification Method Immunogen affinity purified
Quantity 0.1 mL
Regulatory Status RUO
Primary or Secondary Primary
Gene ID (Entrez) 22834
Target Species Human
Content And Storage Store at 4°C short term. Aliquot and store at -20°C long term. Avoid freeze-thaw cycles.
Form Purified
Show More Show Less
Product Title
Seleccione un problema

Al hacer clic en Enviar, acepta que Fisher Scientific se ponga en contacto con usted en relación con los comentarios que ha proporcionado en este formulario. No compartiremos su información para ningún otro fin. Toda la información de contacto proporcionada se mantendrá de acuerdo con nuestra Política de Privacidad. Política de privacidad.