missing translation for 'onlineSavingsMsg'
Learn More

ZNF608 Polyclonal Antibody, Invitrogen™

Rabbit Polyclonal Antibody

Brand:  Invitrogen PA539547

Product Code. 15566421

This item is currently unavailable or has been discontinued.
View the product page for possible alternatives.
View alternative products »

This item is not returnable. View return policy

Description

Description

TRUSTED_SUSTAINABILITY
Specifications

Specifications

ZNF608
Polyclonal
Unconjugated
ZNF608
KIAA1281
Rabbit
Antigen affinity chromatography
RUO
269023, 57507
-20°C
Liquid
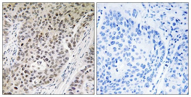
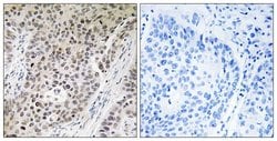
Immunohistochemistry (Paraffin)
1 mg/mL
Dulbecco′s PBS with 150mM NaCl, 50% glycerol and 0.02% sodium azide; pH 7.4
Q9ULD9, Q56A10
Zfp608, ZNF608
A synthetic peptide derived from the internal region of human ZNF608
100 μg
Primary
Human, Mouse
Antibody
IgG
Product Suggestions

Product Suggestions

Videos
SDS
Documents

Documents

Certificates
Promotions

Promotions

Product Content Correction

Your input is important to us. Please complete this form to provide feedback related to the content on this product.

Product Title

By clicking Submit, you acknowledge that you may be contacted by Fisher Scientific in regards to the feedback you have provided in this form. We will not share your information for any other purposes. All contact information provided shall also be maintained in accordance with our Privacy Policy.

Thank You! Your feedback has been submitted. Fisher Scientific is always working to improve our content for you. We appreciate your feedback.