missing translation for 'onlineSavingsMsg'
Learn More
Learn More
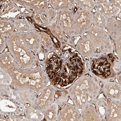
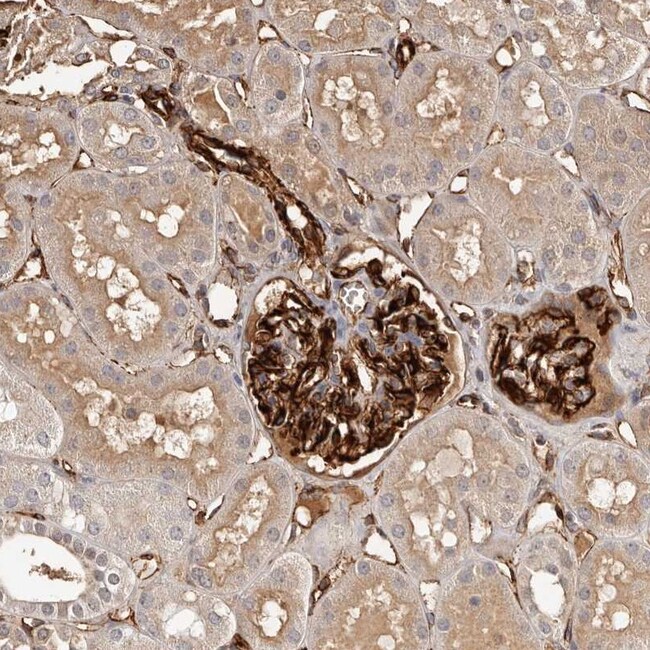
Invitrogen™ ZNF557 Polyclonal Antibody

Rabbit Polyclonal Antibody
Brand: Invitrogen™ PA556104
This item is not returnable.
View return policy
Description
Immunogen sequence: GELVNELLKS WLKGLVTFED VAVEFTQEEW ALLDPAQRTL YRDVMLENCR NLASLGNQVD KPRLISQLEQ EDKVMTEERG ILSGTCPDVE NPFKAKGLTP KLHVFRKEQS RNMKMERNHL GAT Highest antigen sequence identity to the following orthologs: Mouse - 59%, Rat - 46%.
ZNF557 is a new candidate transcription factor.
Specifications
| ZNF557 | |
| Polyclonal | |
| Unconjugated | |
| ZNF557 | |
| CTB-25J19.9; zinc finger protein 557; ZNF557 | |
| Rabbit | |
| Antigen affinity chromatography | |
| RUO | |
| 79230 | |
| Store at 4°C short term. For long term storage, store at -20°C, avoiding freeze/thaw cycles. | |
| Liquid |
| Immunohistochemistry (Paraffin), Immunocytochemistry | |
| 0.3 mg/mL | |
| PBS with 40% glycerol and 0.02% sodium azide; pH 7.2 | |
| Q8N988 | |
| ZNF557 | |
| Recombinant protein corresponding to Human ZNF557. Recombinant protein control fragment (Product #RP-99767). | |
| 100 μL | |
| Primary | |
| Human | |
| Antibody | |
| IgG |
Product Content Correction
Your input is important to us. Please complete this form to provide feedback related to the content on this product.
Product Title
Spot an opportunity for improvement?Share a Content Correction