missing translation for 'onlineSavingsMsg'
Learn More
Learn More
Description
Immunogen sequence: AQAQEREHDD PTGQPGAPQL TQNIPRGPAG SKVFSVWPSG ARSEQRSAFS KPTKRPAERP ELTSVFPAGE SADAL Highest antigen sequence identity to the following orthologs: Mouse - 47%, Rat - 44%.
Transcriptional repressor. Plays a role in oligodendrocyte differentiation, together with OLIG2. Mediates Notch signaling-activated formation of oligodendrocyte precursors. Promotes differentiation of adult neural stem progenitor cells (NSPCs) into mature oligodendrocytes and contributes to remyelination following nerve injury. [UniProt].
Specifications
Specifications
| Antigen | ZNF488 |
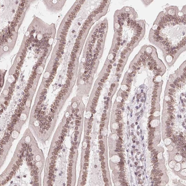
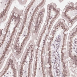
| Applications | Immunohistochemistry (Paraffin), Western Blot |
| Classification | Polyclonal |
| Concentration | 0.1 mg/mL |
| Conjugate | Unconjugated |
| Formulation | PBS with 40% glycerol and 0.02% sodium azide; pH 7.2 |
| Gene | ZNF488 |
| Gene Accession No. | Q96MN9 |
| Gene Alias | Gm1206; Zfp488; Zinc finger protein 488; Znf488 |
| Gene Symbols | ZNF488 |
| Show More |
Product Title
By clicking Submit, you acknowledge that you may be contacted by Fisher Scientific in regards to the feedback you have provided in this form. We will not share your information for any other purposes. All contact information provided shall also be maintained in accordance with our Privacy Policy.
Spot an opportunity for improvement?
