missing translation for 'onlineSavingsMsg'
Learn More

ZNF146 Rabbit anti-Human, Mouse, Rat, Polyclonal, Proteintech

Rabbit Polyclonal Antibody

Brand:  Proteintech 20385-1-AP-20UL

 View more versions of this product

Product Code. 16899914

  • £135.00 / 20µL

Please to purchase this item. Need a web account? Register with us today!

This item is not returnable. View return policy

Description

Description

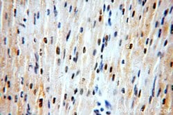
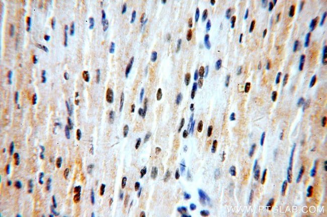
ZNF146 (zinc finger protein 146), also known as OZF (only zinc finger protein), is a 292 amino acid nuclear protein that binds DNA and belongs to the Kruppel C2H2-type zinc-finger protein family. ZNF146 interacts with UBC9 (ubiquitin carrier protein 9) and RAP1 (repressor/activator protein 1 homolog), and is highly expressed in multiple pancreatic and colorectal cancers. Lower levels of expression have been observed in kidney, lung, placenta and brain.
Specifications

Specifications

ZNF146
Polyclonal
Unconjugated
ZNF146
Only zinc finger protein, OZF, zinc finger protein 146, Zinc finger protein OZF, ZNF146
Rabbit
Antigen Affinity Chromatography
RUO
102643033, 103691098, 7705
-20°C
Liquid
Immunohistochemistry (Paraffin), Western Blot
0.33 mg/mL
PBS with 50% glycerol and 0.02% sodium azide; pH 7.3
Q15072, Q8BQN6
ZNF146
ZNF146 Fusion Protein Ag14223
20 μL
Primary
Rat, Human, Mouse
Antibody
IgG
Product Suggestions

Product Suggestions

Videos
SDS
Documents

Documents

Certificates
Promotions

Promotions

Product Content Correction

Your input is important to us. Please complete this form to provide feedback related to the content on this product.

Product Title

By clicking Submit, you acknowledge that you may be contacted by Fisher Scientific in regards to the feedback you have provided in this form. We will not share your information for any other purposes. All contact information provided shall also be maintained in accordance with our Privacy Policy.

Thank You! Your feedback has been submitted. Fisher Scientific is always working to improve our content for you. We appreciate your feedback.