missing translation for 'onlineSavingsMsg'
Learn More
Learn More
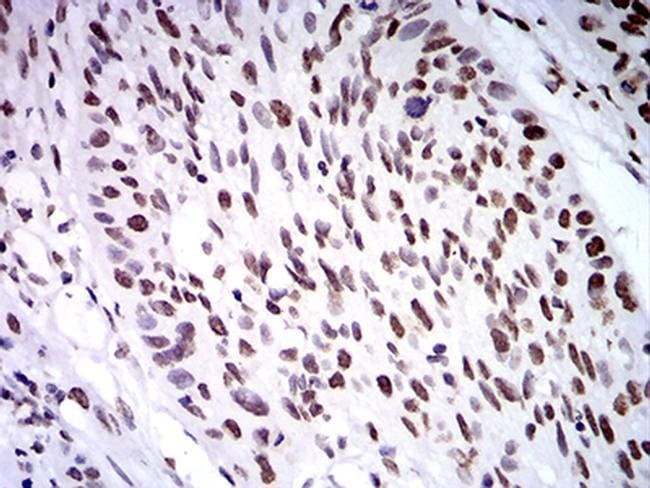
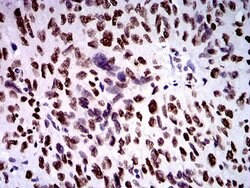
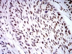
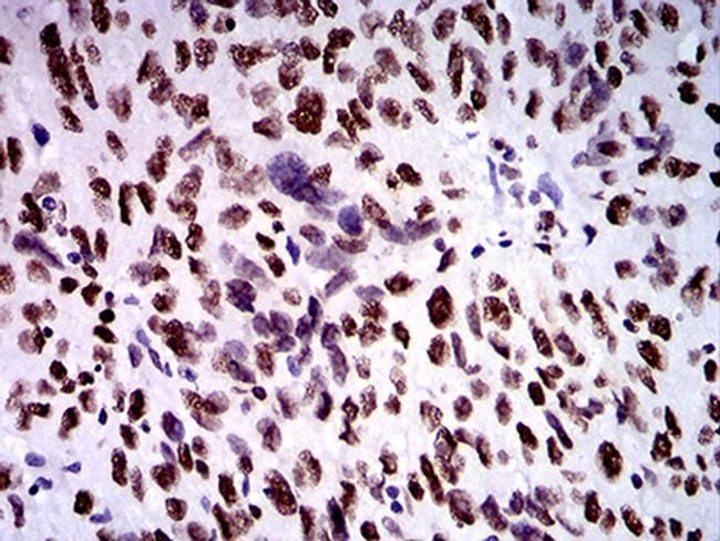
Invitrogen™ ZFP91 Monoclonal Antibody (7G11H2)

Mouse Monoclonal Antibody
Brand: Invitrogen™ MA531957
This item is not returnable.
View return policy
Description
MA5-31957 has been tested in indirect ELISA.
ZFP91 is a member of the zinc finger family of proteins. The gene product contains C2H2 type domains, which are the classical zinc finger domains found in numerous nucleic acid-binding proteins. In addition to the monocistronic transcript originating from this locus, a co-transcribed variant composed of ZFP91 and CNTF sequence has been identified. The monocistronic and co-transcribed variants encode distinct isoforms. The co-transcription of ZFP91 and CNTF has also been observed in mouse.
Specifications
| ZFP91 | |
| Monoclonal | |
| 1 mg/mL | |
| PBS with 0.05% sodium azide | |
| Q96JP5 | |
| ZFP91 | |
| Purified recombinant fragment of human ZFP91 (AA: 162-304) expressed in E. coli. | |
| 100 μL | |
| Primary | |
| Human | |
| Antibody | |
| IgG1 |
| ELISA, Flow Cytometry, Immunohistochemistry (Paraffin), Western Blot, Immunocytochemistry | |
| 7G11H2 | |
| Unconjugated | |
| ZFP91 | |
| 9130014I08Rik; A530054C17Rik; AL024263; AW545902; cocaine attenuated zinc-finger protein; DMS-8; drug resistance-associated sequence in melanoma 8; DSM-8; E3 ubiquitin-protein ligase ZFP91; FKSG11; Penta Zf protein; penta zinc finger protein; PZF; RING-type E3 ubiquitin transferase ZFP91; Zfp91; Zfp-91; ZFP91 zinc finger protein; ZFP91 zinc finger protein, atypical E3 ubiquitin ligase; zinc finger protein 757; zinc finger protein 91; zinc finger protein 91 homolog; zinc finger protein 91-like protein; zinc finger protein homologous to Zfp91 in mouse; Zinc finger protein PZF; ZNF757 | |
| Mouse | |
| Protein G | |
| RUO | |
| 80829 | |
| Store at 4°C short term. For long term storage, store at -20°C, avoiding freeze/thaw cycles. | |
| Liquid |
Product Content Correction
Your input is important to us. Please complete this form to provide feedback related to the content on this product.
Product Title
Spot an opportunity for improvement?Share a Content Correction