missing translation for 'onlineSavingsMsg'
Learn More
Learn More
Invitrogen™ ZFAND3 Monoclonal Antibody (OTI1H10)

Mouse Monoclonal Antibody
Brand: Invitrogen™ MA526350
This item is not returnable.
View return policy
Descripción
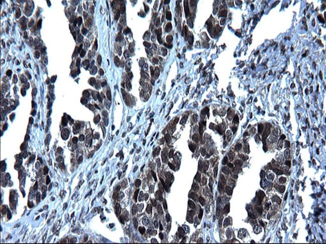
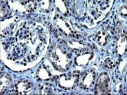
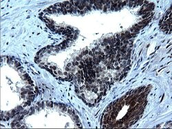
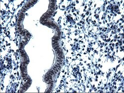
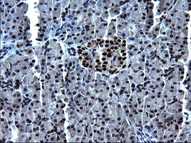
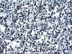
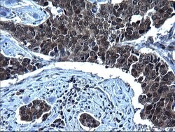
ZFAND3 Monoclonal Antibody for Western Blot, IHC (P)
ZFAND3 (Zinc Finger AN1-Type Containing 3) is a Protein Coding gene and also known as Testis expressed sequence 27.
Especificaciones
| ZFAND3 | |
| Monoclonal | |
| 1 mg/mL | |
| PBS with 1% BSA, 50% glycerol and 0.02% sodium azide; pH 7.3 | |
| Q9H8U3 | |
| ZFAND3 | |
| Full length human recombinant protein of ZFAND3 produced in HEK293T cell. | |
| 100 μL | |
| Primary | |
| Human | |
| Antibody | |
| IgG1 |
| Immunohistochemistry (Paraffin), Western Blot | |
| OTI1H10 | |
| Unconjugated | |
| ZFAND3 | |
| AN1-type zinc finger protein 3; AW539211; RNF1; TEG-27; testis expressed gene 27; testis expressed sequence 27; Testis-expressed protein 27; testis-expressed sequence 27; TEX27; ZFAND3; zinc finger AN1-type containing 3; zinc finger, AN1-type domain 3 | |
| Mouse | |
| Affinity Chromatography | |
| RUO | |
| 60685 | |
| -20°C, Avoid Freeze/Thaw Cycles | |
| Liquid |
Corrección del contenido de un producto
Proporcione sus comentarios sobre el contenido del producto rellenando el siguiente formulario.
Título del producto
¿Detecta una oportunidad de mejora?Comparta una corrección de contenido