missing translation for 'onlineSavingsMsg'
Learn More
Learn More
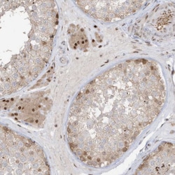
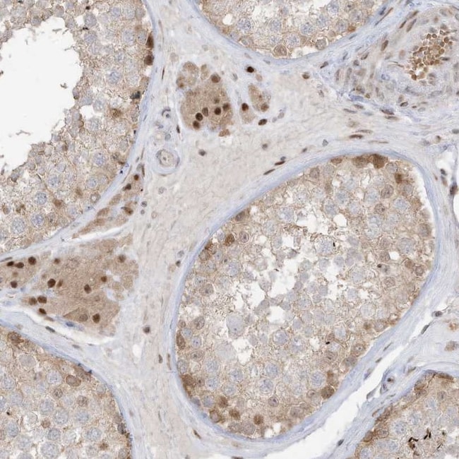
Invitrogen™ ZCWPW2 Polyclonal Antibody

Rabbit Polyclonal Antibody
Brand: Invitrogen™ PA557126
This item is not returnable.
View return policy
Description
Immunogen sequence: TATPDESEEG HGEEINMGEK LSKCSPEAPA GSLFENHYEE DYLVIDGIKL KAGECIEDIT NKFKEIDALM SEF Highest antigen sequence identity to the following orthologs: Mouse - 28%, Rat - 28%.
ZCWPW2 is a protein coding gene.
Specifications
| ZCWPW2 | |
| Polyclonal | |
| Unconjugated | |
| ZCWPW2 | |
| ZCW2; ZCWPW2; zinc finger CW-type and PWWP domain 2; zinc finger CW-type and PWWP domain containing 2; zinc finger CW-type PWWP domain protein 2; zinc finger, CW type with PWWP domain 2 | |
| Rabbit | |
| Antigen affinity chromatography | |
| RUO | |
| 152098 | |
| Store at 4°C short term. For long term storage, store at -20°C, avoiding freeze/thaw cycles. | |
| Liquid |
| Immunohistochemistry (Paraffin) | |
| 0.4 mg/mL | |
| PBS with 40% glycerol and 0.02% sodium azide; pH 7.2 | |
| Q504Y3 | |
| ZCWPW2 | |
| Recombinant protein corresponding to Human ZCWPW2. Recombinant protein control fragment (Product #RP-96489). | |
| 100 μL | |
| Primary | |
| Human | |
| Antibody | |
| IgG |
Product Content Correction
Your input is important to us. Please complete this form to provide feedback related to the content on this product.
Product Title
Spot an opportunity for improvement?Share a Content Correction