missing translation for 'onlineSavingsMsg'
Learn More

ZCRB1 Antibody, Novus Biologicals™

Product Code. 18431999 Shop All Bio Techne Products
Change view
Click to view available options
Quantity:
0.05 mg
Unit Size:
50µg
1 product options available for selection
Product selection table with 1 available options. Use arrow keys to navigate and Enter or Space to select.
Product Code. Quantity unitSize
18431999 0.05 mg 50µg
Use arrow keys to navigate between rows. Press Enter or Space to select a product option. 1 options available.
1 options
This item is not returnable. View return policy
Product Code. 18431999 Supplier Novus Biologicals Supplier No. H00085437B01P

Please to purchase this item. Need a web account? Register with us today!

This item is not returnable. View return policy

Mouse Polyclonal Antibody

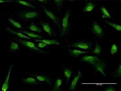
ZCRB1 Polyclonal antibody specifically detects ZCRB1 in Human samples. It is validated for Western Blot, Immunocytochemistry/ Immunofluorescence
TRUSTED_SUSTAINABILITY

Specifications

Antigen ZCRB1
Applications Western Blot, Immunocytochemistry/Immunofluorescence
Classification Polyclonal
Conjugate Unconjugated
Formulation PBS (pH 7.4)
Gene Accession No. NP_149105.3
Gene Alias MADP-1, MADP1U11/U12 snRNP 31 kDa protein, MGC26805, RBM36, U11/U12 small nuclear ribonucleoprotein 31 kDa protein, U11/U12 snRNP 31K, U11/U12-31K, ZCCHC19, zinc finger CCHC-type and RNA binding motif 1, zinc finger CCHC-type and RNA-binding motif-containing protein 1
Host Species Mouse
Immunogen ZCRB1 (NP_149105.3, 1 a.a. - 217 a.a.) full-length human protein. MSGGLAPSKSTVYVSNLPFSLTNNDLYRIFSKYGKVVKVTIMKDKDTRKSKGVAFILFLDKDSAQNCTRAINNKQLFGRVIKASIAIDNGRAAEFIRRRNYFDKSKCYECGESGHLSYACPKNMLGEREPPKKKEKKKKKKAPEPEEEIEEVEESEDEGEDPALDSLSQAIAFQQAKIEEEQKKWKPSSGVPSTSDDSRRPRIKKSTYFSDEEELSD
Purification Method Protein G purified
Quantity 0.05 mg
Regulatory Status RUO
Primary or Secondary Primary
Gene ID (Entrez) 85437
Target Species Human
Content And Storage Aliquot and store at -20°C or -80°C. Avoid freeze-thaw cycles.
Form Purified
Isotype IgG
Show More Show Less
Product Title
Select an issue

By clicking Submit, you acknowledge that you may be contacted by Fisher Scientific in regards to the feedback you have provided in this form. We will not share your information for any other purposes. All contact information provided shall also be maintained in accordance with our Privacy Policy.