missing translation for 'onlineSavingsMsg'
Learn More

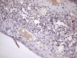
ZC3H8 Antibody (OTI4H5), Novus Biologicals™

Mouse Monoclonal Antibody

Brand:  Novus Biologicals NBP2-46397

Product Code. 18130188

  • £458.00 / 0.10mL

Please to purchase this item. Need a web account? Register with us today!

This item is not returnable. View return policy

Description

Description

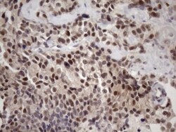
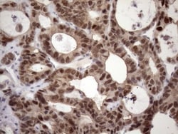
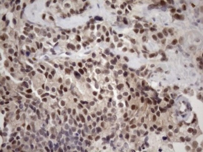
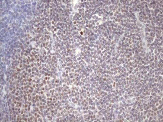
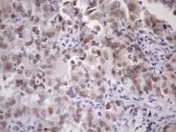
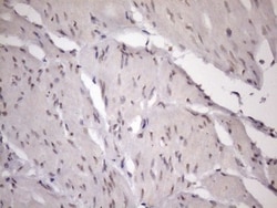
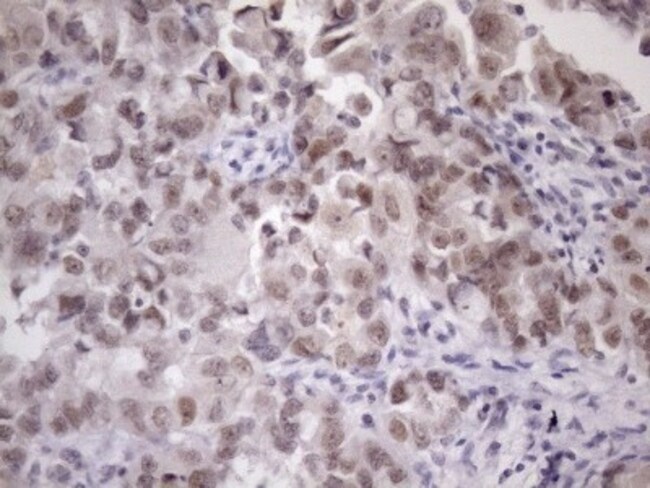
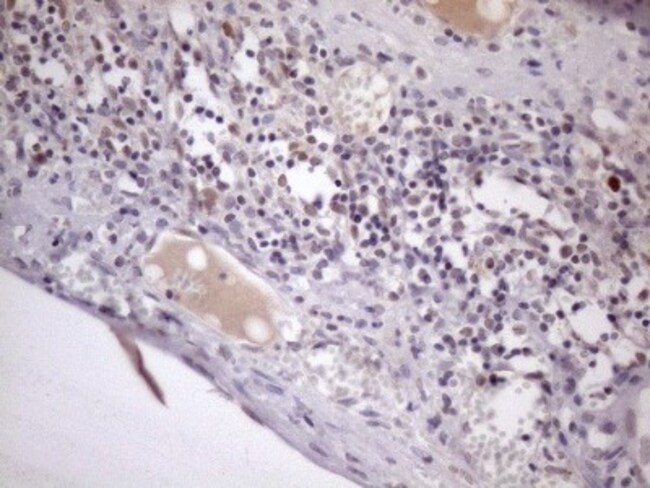
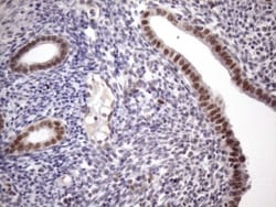
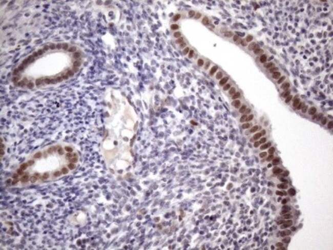
Ensure accurate, reproducible results in Immunohistochemistry

ZC3H8 Monoclonal specifically detects ZC3H8 in Human samples. It is validated for Immunohistochemistry, Immunohistochemistry-Paraffin.
TRUSTED_SUSTAINABILITY
Specifications

Specifications

ZC3H8
Monoclonal
1 mg/mL
Immunohistochemistry 1:150
Fliz1, ZC3HDC8, zinc finger CCCH domain-containing protein 8, zinc finger CCCH type domain containing 8, zinc finger CCCH-type containing 8, zinc finger CCCH-type domain containing 8
Mouse
33.4 kDa
0.1 mL
Primary
Human
Purified
Immunohistochemistry
OTI4H5
Unconjugated
PBS (pH 7.3), 1.0% BSA and 50% Glycerol with 0.02% Sodium Azide
ZC3H8
Full length human recombinant protein of human ZC3H8 (NP_115883) produced in E.coli.
Immunogen affinity purified
RUO
84524
Store at -20C. Avoid freeze-thaw cycles.
IgG1
Product Suggestions

Product Suggestions

Videos
SDS
Documents

Documents

Certificates
Promotions

Promotions

Product Content Correction

Your input is important to us. Please complete this form to provide feedback related to the content on this product.

Product Title

By clicking Submit, you acknowledge that you may be contacted by Fisher Scientific in regards to the feedback you have provided in this form. We will not share your information for any other purposes. All contact information provided shall also be maintained in accordance with our Privacy Policy.

Thank You! Your feedback has been submitted. Fisher Scientific is always working to improve our content for you. We appreciate your feedback.

For Research Use Only