missing translation for 'onlineSavingsMsg'
Learn More
Learn More
Invitrogen™ ZC3H12D Polyclonal Antibody

Rabbit Polyclonal Antibody
Brand: Invitrogen™ PA5110590
This item is not returnable.
View return policy
Description
Immunogen sequence: QHVLAELERQ AVLVYTPSRK VHGKRLVCYD DRYIVKVAYE QDGVIVSNDN YRDLQSENPE WKWFIEQRLL MFSFVNDRFM P.
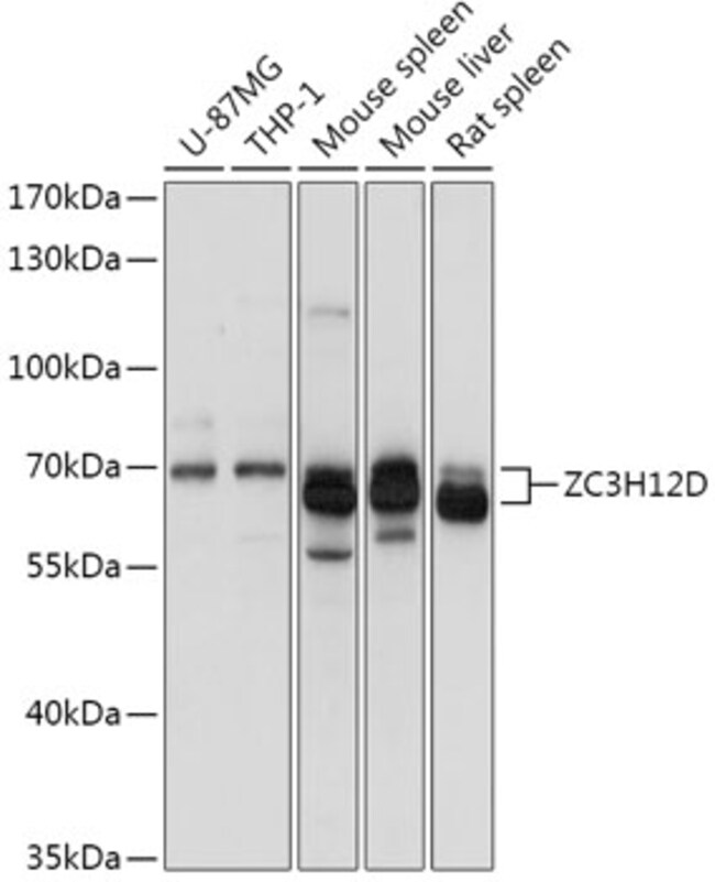
ZC3H12D, also known as MCPIP4, is a member of a family of novel CCCH-zinc finger proteins that includes ZC3H12A, a protein that is thought to be involved in macrophage activation, host immunity and inflammatory diseases. ZC3H12D is highly expressed in spleen, intestine, and colon. Similar to ZC3H12A and ZC3H12C, ZC3H12D expression in murine macrophages is also increased after treatment with lipopolysaccharide (LPS), although not to the same level as ZC3H12A. This pattern of expression was not duplicated in human-derived macrophages, suggesting it also may play a different role in host immunity and inflammatory response.
Specifications
| ZC3H12D | |
| Polyclonal | |
| Unconjugated | |
| ZC3H12D | |
| C6orf95; D730019B10Rik; dJ281H8.1; MCP-induced protein 4; MCPIP4; p34; probable ribonuclease ZC3H12D; RP1-281H8.5; Tfl; Transformed follicular lymphoma; transformed follicular lymphoma homolog; tumor suppressor TFL; zc3h12d; Zinc finger CCCH domain-containing protein 12D; zinc finger CCCH type containing 12D; zinc finger CCCH-type containing 12D | |
| Rabbit | |
| Affinity chromatography | |
| RUO | |
| 237256, 308266, 340152 | |
| -20°C, Avoid Freeze/Thaw Cycles | |
| Liquid |
| ELISA, Western Blot, Immunocytochemistry | |
| 1.50 mg/mL | |
| PBS with 50% glycerol and 0.01% thimerosal; pH 7.3 | |
| A2A288, Q8BIY3 | |
| ZC3H12D | |
| Recombinant fusion protein containing a sequence corresponding to amino acids 150-230 of human ZC3H12D (NP_997243.2). | |
| 100 μL | |
| Primary | |
| Human, Mouse, Rat | |
| Antibody | |
| IgG |
Product Content Correction
Your input is important to us. Please complete this form to provide feedback related to the content on this product.
Product Title
Spot an opportunity for improvement?Share a Content Correction