missing translation for 'onlineSavingsMsg'
Learn More
Learn More
Invitrogen™ XRN2 Monoclonal Antibody (OTI5F4)

Mouse Monoclonal Antibody
Brand: Invitrogen™ MA527148
This item is not returnable.
View return policy
Description
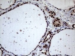
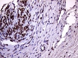
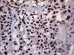
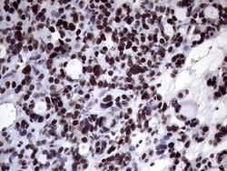
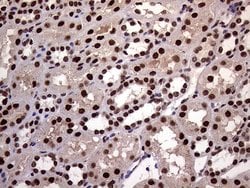
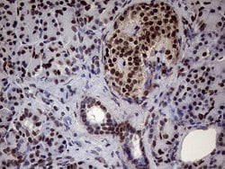
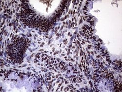
XRN2 Monoclonal Antibody for Western Blot, IHC (P)
XRN2 gene encodes a 5'-3' exonuclease that promotes transcription termination at cotranscriptional cleavage sites. Alternative splicing results in multiple transcript variants encoding different isoforms.
Specifications
| XRN2 | |
| Monoclonal | |
| 1 mg/mL | |
| PBS with 1% BSA, 50% glycerol and 0.02% sodium azide; pH 7.3 | |
| Q9DBR1, Q9H0D6 | |
| Xrn2 | |
| Human recombinant protein fragment corresponding to amino acids 677-779 of XRN2 produced in E.coli. | |
| 100 μL | |
| Primary | |
| Human, Mouse, Monkey | |
| Antibody | |
| IgG2b |
| Immunohistochemistry (Paraffin), Western Blot | |
| OTI5F4 | |
| Unconjugated | |
| Xrn2 | |
| 5'-3' exoribonuclease 2; Dhm1; DHM1-like protein; DHP protein; Protein Dhm1; Xrn2; XRN2b | |
| Mouse | |
| Affinity Chromatography | |
| RUO | |
| 22803, 24128 | |
| -20°C, Avoid Freeze/Thaw Cycles | |
| Liquid |
Product Content Correction
Your input is important to us. Please complete this form to provide feedback related to the content on this product.
Product Title
Spot an opportunity for improvement?Share a Content Correction