missing translation for 'onlineSavingsMsg'
Learn More

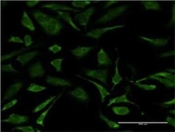
XPD Antibody (S3), Novus Biologicals™

Mouse Monoclonal Antibody

Brand:  Novus Biologicals H00002068-M04

Product Code. 18314768

  • £468.00 / 0.01mg

Please to purchase this item. Need a web account? Register with us today!

This item is not returnable. View return policy

Description

Description

XPD Monoclonal antibody specifically detects XPD in Human samples. It is validated for Western Blot, ELISA, Immunocytochemistry/ Immunofluorescence
TRUSTED_SUSTAINABILITY
Specifications

Specifications

XPD
Monoclonal
Unconjugated
In 1x PBS, pH 7.4
Basic transcription factor 2 80 kDa subunit, BTF2 p80, COFS2, CXPD, DNA excision repair protein ERCC-2, DNA repair protein complementing XP-D cells, EC 3.6.1, EC 3.6.4.12, EM9TFIIH basal transcription factor complex 80 kDa subunit, excision repair cross-complementing rodent repair deficiency, complementationgroup 2, MAG, MGC102762, MGC126218, MGC126219, TFIIH 80 kDa subunit, TFIIH basal transcription factor complex helicase subunit, TFIIH basal transcription factor complex helicase XPD subunit, TTD, xeroderma pigmentosum complementary group D, Xeroderma pigmentosum group D-complementing protein, XPDC, XPDTFIIH p80
ERCC2 (AAH08346, 1 a.a. ~ 405 a.a) full-length recombinant protein with GST tag. MW of the GST tag alone is 26 KDa. MRELKRTLDAKGHGVLEMPSGTGKTVSLLALIMAYQRAYPLEVTKLIYCSRTVPEIEKVIEELRKLLNFYEKQEGEKLPFLGLALSSRKNLCIHPEVTPLRFGKDVDGKCHSLTASYVRAQYQHDTSLPHCRFYEEFDAHGREVPLPAGIYNLDDLKALGRRQGWCPYFLARYSILHANVVVYSYHYLLDPKIADLVSKELARKAVVVFDEAHNIDNVCIDSMSVNLTRRTLDRCQGNLETLQKTVLRIKETDEQRLRDEYRRLVEGLREASAARETDAHLANPVLPDEVLQEAVPGSIRTAEHFLGFLRRLLEYVKWRLRVQHVVQESPPAFLSGLAQRVCIQRKPLRFCAERLRSLLHTLEITDLADFSPLTLLANFATLVSTYAKGQAQHCGSSRNQKRSHP
0.1 mg
Cancer, DNA Repair, Nucleotide Excision Repair
2068
Aliquot and store at -20C or -80C. Avoid freeze-thaw cycles.
IgG1 κ
Western Blot, ELISA, Immunocytochemistry
S3
Western Blot 1:500, ELISA, Immunocytochemistry/ Immunofluorescence
BC008346
Mouse
IgG purified
RUO
Primary
Human
Purified
Product Suggestions

Product Suggestions

Videos
SDS
Documents

Documents

Certificates
Promotions

Promotions

Product Content Correction

Your input is important to us. Please complete this form to provide feedback related to the content on this product.

Product Title

By clicking Submit, you acknowledge that you may be contacted by Fisher Scientific in regards to the feedback you have provided in this form. We will not share your information for any other purposes. All contact information provided shall also be maintained in accordance with our Privacy Policy.

Thank You! Your feedback has been submitted. Fisher Scientific is always working to improve our content for you. We appreciate your feedback.