missing translation for 'onlineSavingsMsg'
Learn More

Invitrogen™ XIAP Polyclonal Antibody

Product Code. 12838282
Change view
Click to view available options
Quantity:
100 μg
Unit Size:
100µg
1 product options available for selection
Product selection table with 1 available options. Use arrow keys to navigate and Enter or Space to select.
Product Code. Quantity unitSize
12838282 100 μg 100µg
Use arrow keys to navigate between rows. Press Enter or Space to select a product option. 1 options available.
1 options
This item is not returnable. View return policy
Product Code. 12838282 Supplier Invitrogen™ Supplier No. PA520067

Please to purchase this item. Need a web account? Register with us today!

This item is not returnable. View return policy

Rabbit Polyclonal Antibody

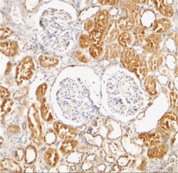
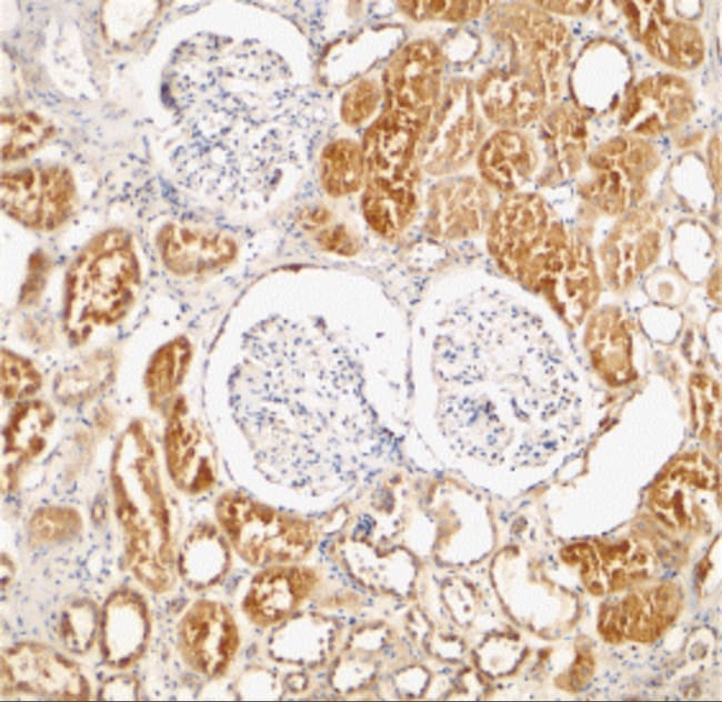
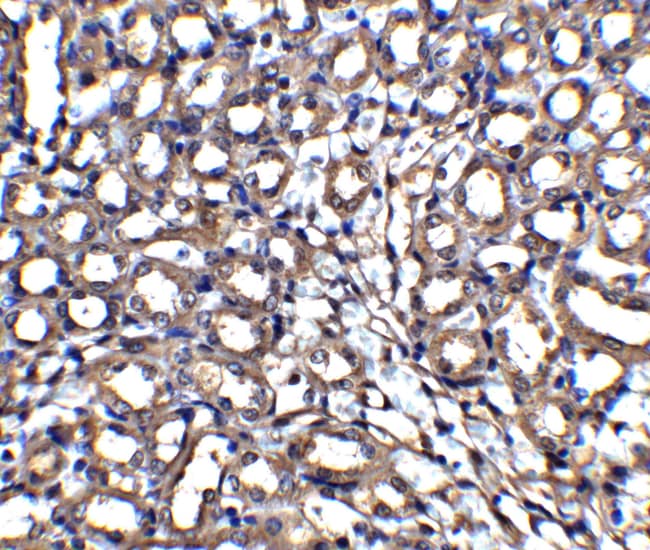
A suggested positive control is human kidney tissue lysate. PA5-20067 can be used with blocking peptide PEP-0186.

ATP synthase is extremely conserved through evolution and can be found in plants, fungi, bacteria, and animals. The ATP synthase enzyme is a transmembrane protein responsible for driving the reversible reaction from ADP+ phosphate to ATP. This reaction is accomplished by a flux of protons across the membrane as a result of electron transfer. The ATP synthase protein has two main sections; the F1 ATP-ase (soluble) and the F0 ATP-ase (membrane embedded). The F1 section consists of the alpha, beta, gamma, delta, and epsilon subunits. While the F0 consists of a, b, and c subunits.
TRUSTED_SUSTAINABILITY

Specifications

Antigen XIAP
Applications Immunohistochemistry, Western Blot
Classification Polyclonal
Concentration 1 mg/mL
Conjugate Unconjugated
Formulation PBS with 0.02% sodium azide
Gene XIAP
Gene Accession No. P98170, Q60989
Gene Alias 1110015C02Rik; Aipa; Api3; apoptosis inhibitor protein 3; baculoviral IAP repeat-containing 4; baculoviral IAP repeat-containing protein 4; BIR4; Birc4; E3 ubiquitin-protein ligase XIAP; hIAP3; hIAP-3; HILP; IAP homolog A; IAP3; IAP-3; IAP-like protein; ILP; ILP1; ILP-1; Inhibitor of apoptosis protein 3; MIHA; riap3; RIAP-3; RING-type E3 ubiquitin transferase XIAP; RP1-315G1.5; XIAP; X-linked IAP; X-linked inhibitor of apoptosis; X-linked inhibitor of apoptosis protein; X-linked inhibitor of apoptosis, E3 ubiquitin protein ligase; XLP2
Gene Symbols XIAP
Host Species Rabbit
Immunogen A synthetic peptide corresponding to 13 amino acids at the C-terminus of human XIAP.
Purification Method Antigen affinity chromatography
Quantity 100 μg
Regulatory Status RUO
Primary or Secondary Primary
Gene ID (Entrez) 11798, 331
Target Species Human, Mouse
Content And Storage 4°C
Product Type Antibody
Form Liquid
Isotype IgG
Show More Show Less
Product Title
Select an issue

By clicking Submit, you acknowledge that you may be contacted by Fisher Scientific in regards to the feedback you have provided in this form. We will not share your information for any other purposes. All contact information provided shall also be maintained in accordance with our Privacy Policy.