missing translation for 'onlineSavingsMsg'
Learn More
Learn More
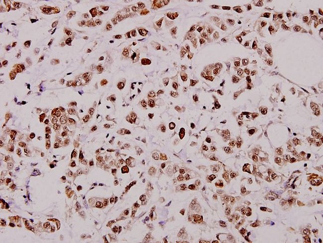
Invitrogen™ XIAP Polyclonal Antibody

Rabbit Polyclonal Antibody
Brand: Invitrogen™ PA586307
This item is not returnable.
View return policy
Description
Purity is > 95% by SDS-PAGE.
ATP synthase is extremely conserved through evolution and can be found in plants, fungi, bacteria, and animals. The ATP synthase enzyme is a transmembrane protein responsible for driving the reversible reaction from ADP+ phosphate to ATP. This reaction is accomplished by a flux of protons across the membrane as a result of electron transfer. The ATP synthase protein has two main sections; the F1 ATP-ase (soluble) and the F0 ATP-ase (membrane embedded). The F1 section consists of the alpha, beta, gamma, delta, and epsilon subunits. While the F0 consists of a, b, and c subunits.
Specifications
| XIAP | |
| Polyclonal | |
| Unconjugated | |
| XIAP | |
| 1110015C02Rik; Aipa; Api3; apoptosis inhibitor protein 3; baculoviral IAP repeat-containing 4; baculoviral IAP repeat-containing protein 4; BIR4; Birc4; E3 ubiquitin-protein ligase XIAP; hIAP3; hIAP-3; HILP; IAP homolog A; IAP3; IAP-3; IAP-like protein; ILP; ILP1; ILP-1; Inhibitor of apoptosis protein 3; MIHA; riap3; RIAP-3; RING-type E3 ubiquitin transferase XIAP; RP1-315G1.5; XIAP; X-linked IAP; X-linked inhibitor of apoptosis; X-linked inhibitor of apoptosis protein; X-linked inhibitor of apoptosis, E3 ubiquitin protein ligase; XLP2 | |
| Rabbit | |
| Antigen affinity chromatography | |
| RUO | |
| 11798, 331, 63879 | |
| Store at 4°C short term. For long term storage, store at -20°C, avoiding freeze/thaw cycles. | |
| Liquid |
| Immunohistochemistry (Paraffin), Western Blot | |
| 1 mg/mL | |
| PBS with 50% glycerol and 0.02% sodium azide; pH 7.2 | |
| P98170, Q60989, Q9R0I6 | |
| XIAP | |
| Synthetic peptide, corresponding to amino acids 50-100 of Human XIAP. | |
| 100 μL | |
| Primary | |
| Human, Mouse, Rat | |
| Antibody | |
| IgG |
Product Content Correction
Your input is important to us. Please complete this form to provide feedback related to the content on this product.
Product Title
Spot an opportunity for improvement?Share a Content Correction