missing translation for 'onlineSavingsMsg'
Learn More

Invitrogen™ ACVR2A Monoclonal Antibody (C11)

Mouse Monoclonal Antibody

Brand:  Invitrogen™ MA543988

 View more versions of this product

Product Code. 17624446

  • £178.00 / 20µL

Please to purchase this item. Need a web account? Register with us today!

This item is not returnable. View return policy

Description

Description

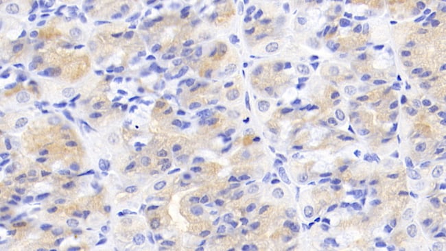
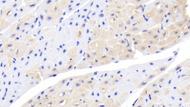
ACVR2A Monoclonal Antibody for Western Blot, IHC (P)

Activin A receptor kinase (ACVR2A) is a type II member of the TGF-beta family of receptor Serine/Threonine kinases. ACVR2A is involved in the activin and myostatin signaling pathway. (ACVR2A Aliases: ACVR2, ACTRII). These receptors are all transmembrane proteins, composed of a ligand-binding extracellular domain with cysteine-rich region, a transmembrane domain, and a cytoplasmic domain with predicted serine/threonine specificity. Type I receptors are essential for signaling, and type II receptors are required for binding ligands and for expression of type I receptors. Type I and II receptors form a stable complex after ligand binding, resulting in phosphorylation of type I receptors by type II receptors. Type II receptors are considered to be constitutively active kinases.
TRUSTED_SUSTAINABILITY
Specifications

Specifications

ACVR2A
Monoclonal
1 mg/mL
PBS with 50% glycerol and 0.05% ProClin 300; pH 7.4
P27037
ACVR2A
Recombinant protein Activin A Receptor Type II A. The antigen corresponds to amino acid range 20-135 of the target protein.
20 μL
Primary
Human, Pig
Antibody
IgG1 κ
Immunohistochemistry (Paraffin), Western Blot
C11
Unconjugated
ACVR2A
activin A receptor type 2A; activin A receptor type IIA; activin A receptor, type IIA; activin receptor IIA; activin receptor type IIA; Activin receptor type-2A; Actrii; ActrIIa; ACTR-IIA; ACVR2; Acvr2a; rActR-II; TactrII; type II activin receptor
Mouse
Protein A/G
RUO
397282, 92
Store at 4°C short term. For long term storage, store at -20°C, avoiding freeze/thaw cycles.
Liquid
Product Suggestions

Product Suggestions

Videos
SDS
Documents

Documents

Certificates
Promotions

Promotions

Product Content Correction

Your input is important to us. Please complete this form to provide feedback related to the content on this product.

Product Title

By clicking Submit, you acknowledge that you may be contacted by Fisher Scientific in regards to the feedback you have provided in this form. We will not share your information for any other purposes. All contact information provided shall also be maintained in accordance with our Privacy Policy.

Thank You! Your feedback has been submitted. Fisher Scientific is always working to improve our content for you. We appreciate your feedback.