missing translation for 'onlineSavingsMsg'
Learn More
Learn More
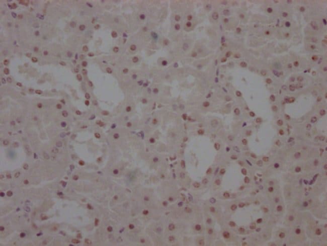
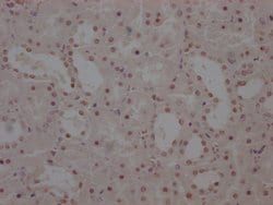
Invitrogen™ WT1 Recombinant Rabbit Monoclonal Antibody (5F2)

Rabbit Recombinant Monoclonal Antibody
Brand: Invitrogen™ MA538406
This item is not returnable.
View return policy
Description
This antibody has been tested in direct-ELISA.
The Wilms Tumor 1 gene encodes one of the WPP domain-interacting proteins (Wilms Tumor 1/AT5G11390, WIT2/AT1G68910) required for RanGAP nuclear envelope association in root tip cells. Ran GTPase plays essential roles in multiple cellular processes, including nucleocytoplasmic transport, spindle formation, and postmitotic nuclear envelope reassembly. The cytoplasmic Ran GTPase activating protein RanGAP is critical to establish a functional RanGTP/RanGDP gradient across the nuclear envelope and is associated with the outer surface of the nuclear envelope in metazoan and higher plant cells. Arabidopsis thaliana RanGAP association with the root tip nuclear envelope requires a family of likely plant-specific nucleoporins combining coiled-coil and transmembrane domains (CC-TMD) and WPP domain-interacting proteins (WIPs). Wilms Tumor 1 and WIT2 have been identified as a second family of CC-TMD proteins, structurally similar, yet clearly distinct from the WIP family, that is required for RanGAP nuclear envelop association in root tip cells.
Specifications
| WT1 | |
| Recombinant Monoclonal | |
| 0.4 mg/mL | |
| PBS with 50% glycerol, 150mM NaCl and 0.02% sodium azide; pH 7.4 | |
| P19544 | |
| WT1 | |
| A synthesized peptide derived from human Wilms Tumor Protein. | |
| 100 μL | |
| Primary | |
| Human | |
| Antibody | |
| IgG |
| Immunohistochemistry (Paraffin), Western Blot | |
| 5F2 | |
| Unconjugated | |
| WT1 | |
| AWT1; D630046I19Rik; EWS-WT1; GUD; NPHS4; WAGR; Wilms tumor 1; Wilms tumor 1 homolog; Wilms tumor protein; Wilms tumor protein homolog; Wilms tumor protein isoform Ex4a(+); WIT1; WIT-1; WIT-2; WT; Wt1; Wt-1; WT1 antisense RNA; WT1AS; WT1-AS; WT1-AS1; WT33 | |
| Rabbit | |
| Affinity Chromatography | |
| RUO | |
| 7490 | |
| -20°C or -80°C if preferred | |
| Liquid |
Product Content Correction
Your input is important to us. Please complete this form to provide feedback related to the content on this product.
Product Title
Spot an opportunity for improvement?Share a Content Correction