missing translation for 'onlineSavingsMsg'
Learn More

Invitrogen™ WSB2 Polyclonal Antibody

Rabbit Polyclonal Antibody

Brand:  Invitrogen™ PA588898

Product Code. 16576971

  • £442.00 / 100µL

Please to purchase this item. Need a web account? Register with us today!

This item is not returnable. View return policy

Description

Description

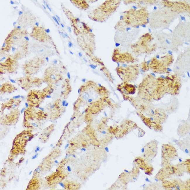
Immunogen sequence: MEAGEEPLLL AELKPGRPHQ FDWKSSCETW SVAFSPDGSW FAWSQGHCIV KLIPWPLEEQ FIPKGFEAKS RSSKNETKGR GSPKEKTLDC GQIVWGLAFS PWPSPPSRKL WARHHPQVPD VSCLVLATGL NDGQIKIWEV QTGLLLLNLS GHQDVVRDLS FTPSGSLILV SASRDKTLRI WDLNKHGKQI QVLSGHLQWV; Positive Samples: Mouse kidney, Rat kidney, Rat spleen.

This gene encodes a member of the WD-protein subfamily. The encoded protein contains five WD-repeats spanning most of the protein and an SOCS box in the C-terminus. The SOCS box may act as a bridge between specific substrate-binding domains and E3 ubiquitin protein ligases.
TRUSTED_SUSTAINABILITY
Specifications

Specifications

WSB2
Polyclonal
Unconjugated
WSB2
AA673511; CS box-containing WD protein; SBA2; SOCS box-containing WD protein SWiP-2; Swip2; WD repeat and SOCS box containing 2; WD repeat and SOCS box containing protein 2; WD repeat and SOCS box-containing 2; WD repeat and SOCS box-containing protein 2; WD SOCS-box protein 2; WD-40-repeat-containing protein with a SOCS box 2; Wsb2; WSB-2
Rabbit
Affinity Chromatography
RUO
288692, 59043
-20°C, Avoid Freeze/Thaw Cycles
Liquid
ELISA, Immunohistochemistry (Paraffin), Western Blot
0.25 mg/mL
PBS with 50% glycerol and 0.01% thimerosal; pH 7.3
O54929
WSB2
Recombinant fusion protein containing a sequence corresponding to amino acids 1-200 of human WSB2 (NP_0611091).
100 μL
Primary
Mouse, Rat
Antibody
IgG
Product Suggestions

Product Suggestions

Videos
SDS
Documents

Documents

Certificates
Promotions

Promotions

Product Content Correction

Your input is important to us. Please complete this form to provide feedback related to the content on this product.

Product Title

By clicking Submit, you acknowledge that you may be contacted by Fisher Scientific in regards to the feedback you have provided in this form. We will not share your information for any other purposes. All contact information provided shall also be maintained in accordance with our Privacy Policy.

Thank You! Your feedback has been submitted. Fisher Scientific is always working to improve our content for you. We appreciate your feedback.