missing translation for 'onlineSavingsMsg'
Learn More
Learn More
Invitrogen™ WNK1 Recombinant Rabbit Monoclonal Antibody (HL2184)

Rabbit Recombinant Monoclonal Antibody
Brand: Invitrogen™ MA550421
This item is not returnable.
View return policy
Description
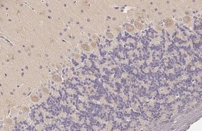
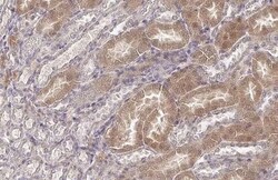
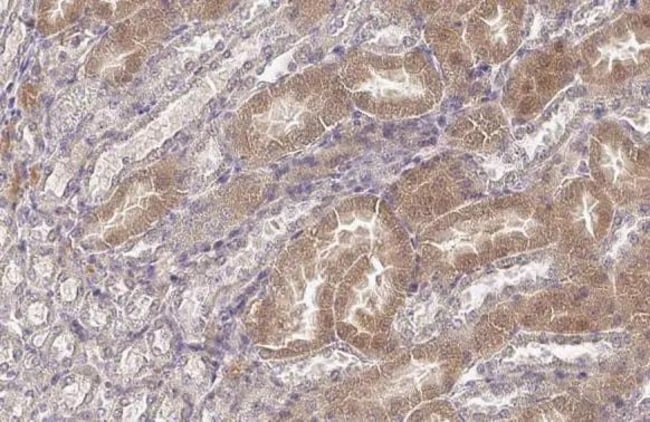
WNK1 Recombinant Monoclonal Antibody for Western Blot, ICC/IF, IHC (P)
WNK1 serine/threonine kinase is a member of the WNK subfamily. WNK1 may be a key regulator of blood pressure by controlling the transport of sodium and chloride ions. Mutations in this gene have been associated with pseudohypoaldosteronism type II and hereditary sensory neuropathy type II. WNK plays an important role in the regulation of electrolyte homeostasis, cell signaling, survival, and proliferation. Also, acts as an activator and inhibitor of sodium-coupled chloride cotransporters and potassium-coupled chloride cotransporters respectively. Activates SCNN1A, SCNN1B, SCNN1D, and SGK1. WNK localizes to a segment of kidney involved in salt, potassium, and pH homeostasis, the distal nephron. Mutations in the WNK gene result in Pseudohypaldosteronism and Neuropathy.
Specifications
| WNK1 | |
| Recombinant Monoclonal | |
| 2 mg/mL | |
| PBS with no preservative | |
| P83741, Q9H4A3, Q9JIH7 | |
| WNK1 | |
| Recombinant fragmemt of human WNK1. | |
| 100 μL | |
| Primary | |
| Human, Mouse, Rat | |
| Antibody | |
| IgG |
| Immunohistochemistry (Paraffin), Western Blot, Immunocytochemistry | |
| HL2184 | |
| Unconjugated | |
| WNK1 | |
| 6430573H23Rik; EG406236; Erythrocyte 65 kDa protein; HSAN2; HSN2; hWNK1; KDP; KIAA0344; Kinase deficient protein; MGC163339; MGC163341; mKIAA0344; p65; PPP1R167; Prkwnk1; prostate-derived sterile 20-like kinase; protein kinase lysine-deficient 1; Protein kinase with no lysine 1; protein phosphatase 1, regulatory subunit 167; PSK; Serine/threonine-protein kinase WNK1; serine/threonine-protein kinase WNK1 1; serine/threonine-protein kinase WNK1 2; With no K; WNK lysine deficient protein kinase 1; WNK lysine deficient protein kinase 1 isoform; WNK1 | |
| Rabbit | |
| Protein A | |
| RUO | |
| 116477, 232341, 65125 | |
| Store at 4°C short term. For long term storage, store at -20°C, avoiding freeze/thaw cycles. | |
| Liquid |
Product Content Correction
Your input is important to us. Please complete this form to provide feedback related to the content on this product.
Product Title
Spot an opportunity for improvement?Share a Content Correction