missing translation for 'onlineSavingsMsg'
Learn More
Learn More
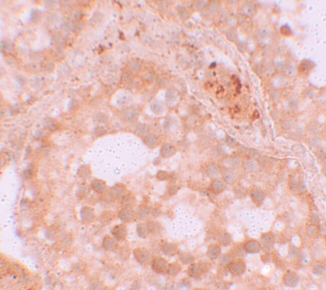
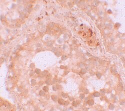
Invitrogen™ WDR92 Polyclonal Antibody

Description
A suggested positive control is human kidney tissue lysate. PA5-21012 can be used with blocking peptide PEP-1126.
WD40 repeats are a common structural module in eukaryotic proteins, and proteins containing WD40 domains have a wide range of functions, including signal transduction, cell cycle regulation, RNA splicing, and transcription. One such protein, WDR92, also known as monad, contains two WD40 repeats is widely expressed in human tissues, especially testis. Overexpression of this protein or its binding partner RNA polymerase II-associated protein 3 (RPAP3) potentiated apoptosis and caspase-3 activation induced by TNF-a and cycloheximide, suggesting that WDR92, together with RPAP3, may function as a novel modulator of apoptosis.
Specifications
Specifications
| Antigen | WDR92 |
| Applications | Immunohistochemistry, Western Blot |
| Classification | Polyclonal |
| Concentration | 1 mg/mL |
| Conjugate | Unconjugated |
| Formulation | PBS with 0.02% sodium azide |
| Gene | WDR92 |
| Gene Accession No. | Q8BGF3, Q96MX6 |
| Gene Alias | AI553587; HZGJ; monad; RGD1563863; testicular secretory protein Li 67; WD repeat domain 92; WD repeat-containing protein 92; WD repeat-containing protein Monad; Wdr92 |
| Gene Symbols | WDR92 |
| Show More |
Product Title
By clicking Submit, you acknowledge that you may be contacted by Fisher Scientific in regards to the feedback you have provided in this form. We will not share your information for any other purposes. All contact information provided shall also be maintained in accordance with our Privacy Policy.
Spot an opportunity for improvement?