missing translation for 'onlineSavingsMsg'
Learn More

WBP2 Antibody (3B1), Novus Biologicals™

Product Code. 18357459 Shop All Bio Techne Products
Change view
Click to view available options
Quantity:
0.1 mg
Unit Size:
0.01mg
1 product options available for selection
Product selection table with 1 available options. Use arrow keys to navigate and Enter or Space to select.
Product Code. Quantity unitSize
18357459 0.1 mg 0.01mg
Use arrow keys to navigate between rows. Press Enter or Space to select a product option. 1 options available.
1 options
This item is not returnable. View return policy
Product Code. 18357459 Supplier Novus Biologicals Supplier No. H00023558M02

Please to purchase this item. Need a web account? Register with us today!

This item is not returnable. View return policy

Mouse Monoclonal Antibody

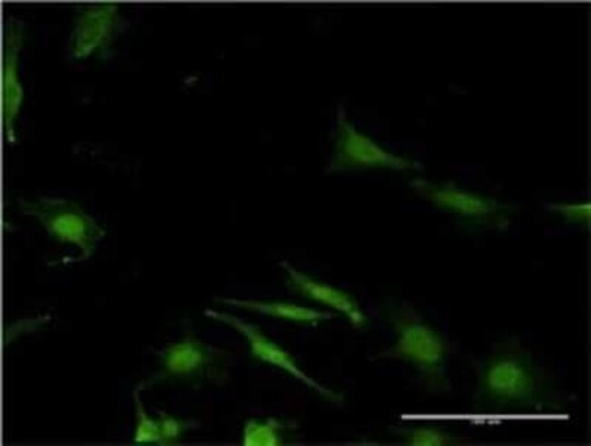
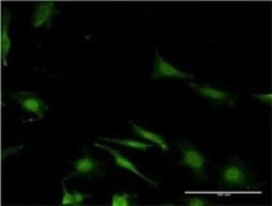
WBP2 Monoclonal antibody specifically detects WBP2 in Human samples. It is validated for Western Blot, ELISA, Immunocytochemistry/ Immunofluorescence, Immunoprecipitation
TRUSTED_SUSTAINABILITY

Specifications

Antigen WBP2
Applications Western Blot, ELISA, Immunocytochemistry, Immunoprecipitation
Classification Monoclonal
Clone 3B1
Conjugate Unconjugated
Dilution Western Blot 1:500
Formulation In 1x PBS, pH 7.4
Gene Accession No. AAH10616
Gene Alias WBP-2MGC18269, WW domain binding protein 2, WW domain-binding protein 2
Host Species Mouse
Immunogen WBP2 (AAH10616, 1 a.a. ~ 261 a.a) full-length recombinant protein with GST tag. MW of the GST tag alone is 26 KDa. MALNKNHSEGGGVIVNNTESILMSYDHVELTFNDMKNVPEAFKGTKKGTVYLTPYRVIFLSKGKDAMQSFMMPFYLMKDCEIKQPVFGANYIKGTVKAEAGGGWEGSASYKLTFTAGGAIEFGQRMLQVASQASRGEVPSGAYGYSYMPSGAYVYPPPVANGMYPCPPGYPYPPPPPEFYPGPPMMDGAMGYVQPPPPPYPGPMEPPVSGPDVPSTPAAEAKAAEAAASAYYNPGNPHNVYMPTSQPPPPPYYPPEDKKTQ
Purification Method IgG purified
Quantity 0.1 mg
Regulatory Status RUO
Research Discipline DNA replication Transcription Translation and Splicing
Primary or Secondary Primary
Gene ID (Entrez) 23558
Target Species Human
Content And Storage Aliquot and store at -20°C or -80°C. Avoid freeze-thaw cycles.
Form Purified
Isotype IgG2a κ
Show More Show Less
Product Title
Select an issue

By clicking Submit, you acknowledge that you may be contacted by Fisher Scientific in regards to the feedback you have provided in this form. We will not share your information for any other purposes. All contact information provided shall also be maintained in accordance with our Privacy Policy.