missing translation for 'onlineSavingsMsg'
Learn More
Learn More
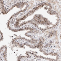
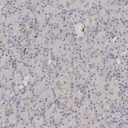
Invitrogen™ VPS28 Polyclonal Antibody

Rabbit Polyclonal Antibody
Brand: Invitrogen™ PA582893
This item is not returnable.
View return policy
Description
Immunogen sequence: VQYKAAFRQV QGSEISSIDE FCRKFRLDCP LAMERIKEDR PITIKDDKGN LNRCIADVVS LFITVMDKLR LEIR Highest antigen sequence indentity to the following orthologs: Mouse - 100%, Rat - 100%.
This gene encodes a protein involved in endosomal sorting of cell surface receptors via a multivesicular body/late endosome pathway. The encoded protein is one of the three subunits of the ESCRT-I complex (endosomal complexes required for transport) involved in the sorting of ubiquitinated proteins. The two other subunits of ESCRT-I are vesicular protein sorting 23, also known as tumor susceptibility gene 101 (TSG101), and vesicular protein sorting 37. Two alternative transcripts encoding different isoforms have been described. Additional alternative transcripts may exist but the proteins encoded by these transcripts have not been verified experimentally.
Specifications
| VPS28 | |
| Polyclonal | |
| Unconjugated | |
| VPS28 | |
| 1110014J03Rik; Caspase-activated DNase inhibitor that interacts with ASK1; CIIA; D730005C08Rik; ESCRT-I complex subunit VPS28; H-Vps28; MGC60323; vacuolar protein sorting 28 (yeast); vacuolar protein sorting 28 homolog; vacuolar protein sorting 28 homolog (S. cerevisiae); vacuolar protein sorting 28-like protein; vacuolar protein sorting-associated protein 28 homolog; VPS28; VPS28 subunit of ESCRT-I; VPS28, ESCRT-I subunit; yeast class E protein Vps28p homolog | |
| Rabbit | |
| Antigen affinity chromatography | |
| RUO | |
| 51160 | |
| Store at 4°C short term. For long term storage, store at -20°C, avoiding freeze/thaw cycles. | |
| Liquid |
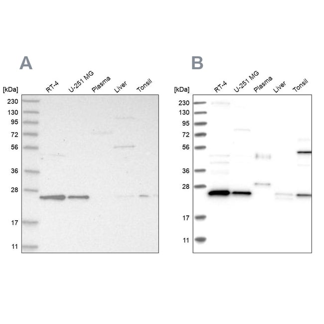
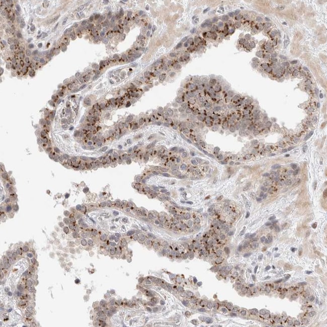
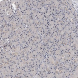
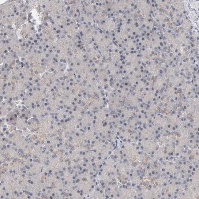
| Immunohistochemistry (Paraffin), Western Blot | |
| 0.1 mg/mL | |
| PBS with 40% glycerol and 0.02% sodium azide; pH 7.2 | |
| Q9UK41 | |
| VPS28 | |
| Recombinant protein corresponding to Human VPS28. Recombinant protein control fragment (Product #RP-93860). | |
| 100 μL | |
| Primary | |
| Human | |
| Antibody | |
| IgG |
Product Content Correction
Your input is important to us. Please complete this form to provide feedback related to the content on this product.
Product Title
Spot an opportunity for improvement?Share a Content Correction