Learn More
Invitrogen™ Phospho-IRF3 (Ser396) Recombinant Rabbit Monoclonal Antibody (PSH06-75)

Rabbit Recombinant Monoclonal Antibody
Brand: Invitrogen™ MA557852
Description
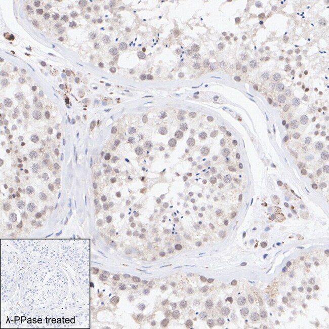
Positive Control: HT-29 transfected with 2.5μg/mL Poly (I:C) for 6 hours cell lysate, J774A.1 transfected with 2.5μg/mL Poly (I:C) for 6 hours cell lysate, human testis tissue, HT-29 cells transfected withPoly (I:C). Tissue Specificity: Low tissue specificity. Subcellular Location: Cytoplasm, Nucleus, Mitochondrion. Sequence Similarities: 83% Mouse/Rat. Predicted band size: 47 kDa.
IFR3 (interferon regulatory factor 3) is a key transcriptional regulator of type I interferon (IFN)-dependent immune responses. It plays a critical role in the innate immune response against DNA and RNA viruses. IFR3 regulates the transcription of type I IFN genes (IFN-alpha and IFN-beta) and IFN-stimulated genes (ISG) by binding to an interferon-stimulated response element (ISRE) in their promoters. It acts as a more potent activator of the IFN-beta gene than the IFN-alpha gene and plays a critical role in both the early and late phases of the IFNA/B gene induction. IFR3 is found in an inactive form in the cytoplasm of uninfected cells and following viral infection, double-stranded RNA, or toll-like receptor signaling. It is phosphorylated by IKBKE and TBK1 kinases. This induces a conformational change, leading to its dimerization and nuclear localization and association with CREB binding protein to form dsRNA-activated factor 1 (DRAF1), a complex which activates the transcription of the type I IFN and ISG genes. Mutations in the gene can result in encephalopathy, acute, infection-induced, herpes-specific 7.
Specifications
| Phospho-IRF3 (Ser396) | |
| Recombinant Monoclonal | |
| 1.0 mg/mL | |
| PBS with 0.1% BSA, 40% glycerol and 0.05% sodium azide; pH 7.4 | |
| P70671, Q14653 | |
| IRF3 | |
| Synthetic phospho-peptide corresponding to residues surrounding Ser396 of human IRF3. | |
| 100 μL | |
| Primary | |
| Human, Mouse | |
| Antibody | |
| IgG |
| Flow Cytometry, Immunohistochemistry (Paraffin), Western Blot, Immunocytochemistry | |
| PSH06-75 | |
| Unconjugated | |
| IRF3 | |
| C920001K05Rik; IIAE7; Interferon regulatory factor 3; IRF3; IRF-3; IRF3 (phospho S386); IRF3 (pS386); IRF3 (pSer386); IRF3 phospho; IRF3 phospho S386; IRF3 phospho Ser386; phospho IRF3 | |
| Rabbit | |
| Protein A | |
| RUO | |
| 3661, 54131 | |
| Store at 4°C short term. For long term storage, store at -20°C, avoiding freeze/thaw cycles. | |
| Liquid |
Your input is important to us. Please complete this form to provide feedback related to the content on this product.