missing translation for 'onlineSavingsMsg'
Learn More

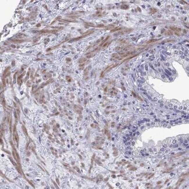
MCT3/SLC16A8 Antibody, Novus Biologicals™

Rabbit Polyclonal Antibody

Brand:  Novus Biologicals NBP2-68995-25ul

 View more versions of this product

Product Code. 18611059

  • £222.00 / 25µL

Please to purchase this item. Need a web account? Register with us today!

This item is not returnable. View return policy

Description

Description

MCT3/SLC16A8 Polyclonal antibody specifically detects MCT3/SLC16A8 in Human samples. It is validated for Immunohistochemistry, Immunohistochemistry (Paraffin)
TRUSTED_SUSTAINABILITY
Specifications

Specifications

MCT3/SLC16A8
Polyclonal
Immunohistochemistry 1:50 - 1:200, Immunohistochemistry-Paraffin 1:50 - 1:200
MCT3MCT 3, monocarboxylate transporter 3, REMP, solute carrier 16 (monocarboxylic acid transporters), member 8, Solute carrier family 16 member 8, solute carrier family 16, member 8 (monocarboxylic acid transporter 3)
This antibody was developed against a recombinant protein corresponding to amino acids: KAAPSGPGTEGGASDTEDAEAEGDSEPLPVVAEEPGNLGALEVLSARGEPTEPEI
25 μL
Primary
Human
Purified
Immunohistochemistry, Immunohistochemistry (Paraffin)
Unconjugated
PBS (pH 7.2) and 40% Glycerol
Rabbit
Protein A purified
RUO
23539
Store at 4°C short term. Aliquot and store at -20°C long term. Avoid freeze-thaw cycles.
IgG
Product Suggestions

Product Suggestions

Videos
SDS
Documents

Documents

Certificates
Promotions

Promotions

Product Content Correction

Your input is important to us. Please complete this form to provide feedback related to the content on this product.

Product Title

By clicking Submit, you acknowledge that you may be contacted by Fisher Scientific in regards to the feedback you have provided in this form. We will not share your information for any other purposes. All contact information provided shall also be maintained in accordance with our Privacy Policy.

Thank You! Your feedback has been submitted. Fisher Scientific is always working to improve our content for you. We appreciate your feedback.