missing translation for 'onlineSavingsMsg'
Learn More

Invitrogen™ ROBO1 Recombinant Mouse Monoclonal Antibody (22D5)

Mouse Recombinant Monoclonal Antibody

Brand:  Invitrogen™ MA550262

Product Code. 17968702

  • £367.00 / 100µL

Please to purchase this item. Need a web account? Register with us today!

This item is not returnable. View return policy

Description

Description

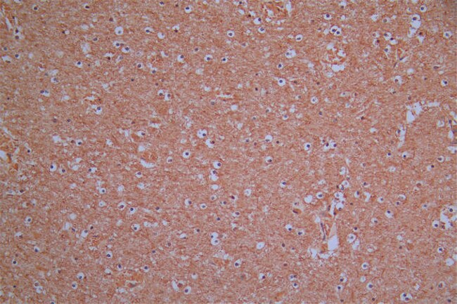
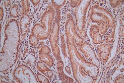
ROBO1 Recombinant Monoclonal Antibody for ICC/IF, IHC (P), Flow, ELISA

Specialized cells at the midline, which separates the left and right halves of the CNS, have a number of roles in directing growth cone behavior. In the vertebrate spinal cord, the insect ventral nerve cord and in C. elegans, midline cells produce guidance cues such as nectins and slit, which act as attractants and repellents, respectively. These cells may act as gatekeepers to prevent axons from crossing the midline and to induce a switch in growth cone responsiveness to guidance cues beyond the gateway. One such gatekeeper, Robo, is an axon guidance receptor that defines a novel subfamily of Ig superfamily proteins that are conserved from fruit flies to mammals. Robo acts as a receptor for the repellent Slit and functions in a cell-autonomous fashion. Non-crossing axons express high levels of Robo, whereas crossing axons express low levels of Robo before reaching the midline and high levels after they cross. Robo1 and Robo2 are two human homologs of the Drosophila protein Roundabout. Robo1 is also homologous to the C. elegans gene sax3, whereas Robo2 is homologous to the zebrafish gene astray.
TRUSTED_SUSTAINABILITY
Specifications

Specifications

ROBO1
Recombinant Monoclonal
0.55 mg/mL
PBS with 50% glycerol and 0.03% Proclin 300; pH 7.4
Q9Y6N7
ROBO1
Recombinant Human ROBO1 protein.
100 μL
Primary
Human
Antibody
IgG
ELISA, Flow Cytometry, Immunohistochemistry (Paraffin), Immunocytochemistry
22D5
Unconjugated
ROBO1
AW494633; AW742721; deleted in U twenty twenty; DUTT1; FLJ21882; Gm310; HGNC:10249; H-Robo-1; MGC131599; MGC133277; ROBO1; roundabout 1; roundabout guidance receptor 1; roundabout homolog 1; roundabout homolog 1 (Drosophila); roundabout, axon guidance receptor, homolog 1; roundabout, axon guidance receptor, homolog 1 (Drosophila); Roundabout1 protein; SAX3
Mouse
Affinity chromatography
RUO
6091
-20°C or -80°C if preferred
Liquid
Product Suggestions

Product Suggestions

Videos
SDS
Documents

Documents

Certificates
Promotions

Promotions

Product Content Correction

Your input is important to us. Please complete this form to provide feedback related to the content on this product.

Product Title

By clicking Submit, you acknowledge that you may be contacted by Fisher Scientific in regards to the feedback you have provided in this form. We will not share your information for any other purposes. All contact information provided shall also be maintained in accordance with our Privacy Policy.

Thank You! Your feedback has been submitted. Fisher Scientific is always working to improve our content for you. We appreciate your feedback.