missing translation for 'onlineSavingsMsg'
Learn More
Learn More
Invitrogen™ TRBP Polyclonal Antibody

Rabbit Polyclonal Antibody
Brand: Invitrogen™ PA5106384
This item is not returnable.
View return policy
Description
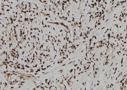
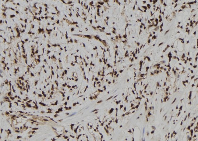
Antibody detects endogenous levels of total TRBP.
TRBP belongs to the family of dsRNA-binding proteins. It consists of highly conserved 2 dsRNA-binding domains and C-terminal basic region. It is a unique cellular protein capable of binding to HIV-TAR RNA and stimulates expression of HIV-1 long terminal repeats. It also inhibits the host antiviral and anti-proliferative mechanisms by directly binding to IFN-regulated dsRNA-dependent protein kinase (PKR). TRBP associates with Ago2 protein and forms an integral component of Dicer-containing complex. It has a role in micro RNA processing and in RISC assembly. Other functions of TRBP include promoting cellular growth and tumorigenesis.
Specifications
| TRBP | |
| Polyclonal | |
| Unconjugated | |
| TARBP2 | |
| fj51e12; HAMAP-Rule:MF_03034}; LOQS; Prbp; PRM-1 RNA-binding protein; protamine-1 RNA-binding protein; RISC-loading complex subunit tarbp2; RISC-loading complex subunit TARBP2 {ECO:0000255; TAR (HIV) RNA binding protein 2; TAR (HIV) RNA-binding protein 2; TAR (HIV) RNA-binding protein TRBP1; TAR (HIV-1) RNA binding protein 2; TAR RNA binding protein 2; TAR RNA-binding protein 2; TARBP2; TARBP2 subunit of RISC loading complex; TARBP2, RISC loading complex RNA binding subunit; trans-activation responsive RNA-binding protein; trans-activation-responsive RNA-binding protein; TRBP; TRBP1; TRBP2; wu:fj51e12; zgc:63778 | |
| Rabbit | |
| Affinity Chromatography | |
| RUO | |
| 21357, 363006, 6895 | |
| -20°C | |
| Liquid |
| Immunohistochemistry (Paraffin), Western Blot, Immunocytochemistry | |
| 1 mg/mL | |
| PBS with 50% glycerol and 0.02% sodium azide; pH 7.4 | |
| P97473, Q15633, Q3SWU0 | |
| TARBP2 | |
| A synthesized peptide derived from human TARBP2(Accession Q15633), corresponding to amino acid residues H244-C294. | |
| 100 μL | |
| Primary | |
| Human, Mouse, Rat | |
| Antibody | |
| IgG |
Product Content Correction
Your input is important to us. Please complete this form to provide feedback related to the content on this product.
Product Title
Spot an opportunity for improvement?Share a Content Correction