missing translation for 'onlineSavingsMsg'
Learn More
Learn More
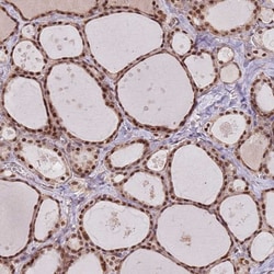
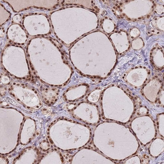
Invitrogen™ SDS3 Polyclonal Antibody
Rabbit Polyclonal Antibody
Brand: Invitrogen™ PA559807
This item is not returnable.
View return policy
Description
Immunogen sequence: KAAVKEFEDK KVELKENLIA ELEEKKKMIE NEKLTMELTG DSMEVKPIMT RKLRRRPNDP VPIPDKRRKP APAQLNYLLT DEQIMEDLRT LNKLKSPKRP A Highest antigen sequence identity to the following orthologs: Mouse - 100%, Rat - 100%.
SDS3 is a subunit of the histone deacetylase.
Specifications
| SDS3 | |
| Polyclonal | |
| Unconjugated | |
| SUDS3 | |
| 2400003N08Rik; 2410008L21Rik; 45 kDa Sin3-associated polypeptide; AU067672; FLJ00052; mSds3; RGD1305986; SAP45; SDS3; SDS3 homolog, SIN3A corepressor complex component; sin3 histone deacetylase corepressor complex component SDS3; Sin3 histone deacetylase corepressor complex component SDS3-like protein; sin3A-associated protein, 45kDa; SUDS3; suppressor of defective silencing 3 homolog; suppressor of defective silencing 3 homolog (S. cerevisiae); suppressor of defective silencing 3 protein homolog | |
| Rabbit | |
| Antigen affinity chromatography | |
| RUO | |
| 64426 | |
| Store at 4°C short term. For long term storage, store at -20°C, avoiding freeze/thaw cycles. | |
| Liquid |
| Immunohistochemistry (Paraffin), Western Blot | |
| 0.1 mg/mL | |
| PBS with 40% glycerol and 0.02% sodium azide; pH 7.2 | |
| Q9H7L9 | |
| SUDS3 | |
| Recombinant protein corresponding to Human SDS3. Recombinant protein control fragment (Product #RP-97715). | |
| 100 μL | |
| Primary | |
| Human | |
| Antibody | |
| IgG |
Product Content Correction
Your input is important to us. Please complete this form to provide feedback related to the content on this product.
Product Title
Spot an opportunity for improvement?Share a Content Correction