missing translation for 'onlineSavingsMsg'
Learn More
Learn More
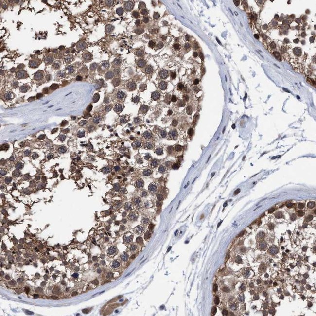
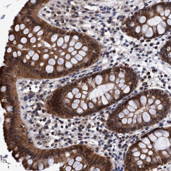
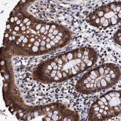
Invitrogen™ PSMD12 Polyclonal Antibody

Rabbit Polyclonal Antibody
Brand: Invitrogen™ PA554701
This item is not returnable.
View return policy
Description
Immunogen sequence: WQQALKSVVL YVILAPFDNE QSDLVHRISG DKKLEEIPKY KDLLKLFTTM ELMRWSTLVE DYGMELRKGS LESPATDVFG STEEGEKRWK DLKNRVVEH Highest antigen sequence identity to the following orthologs: Mouse - 94%, Rat - 95%.
This protein is a ubiquitously expressed nuclear protein and belongs to a highly conserved subfamily of WD-repeat proteins. It is found among several proteins that binds directly to retinoblastoma protein, which regulates cell proliferation. The encoded protein is found in many histone deacetylase complexes, including mSin3 co-repressor complex. It is also present in protein complexes involved in chromatin assembly. This protein can interact with BRCA1 tumor-suppressor gene and may have a role in the regulation of cell proliferation and differentiation.
Specifications
| PSMD12 | |
| Polyclonal | |
| Unconjugated | |
| PSMD12 | |
| 1500002F15Rik; 26S proteasome non-ATPase regulatory subunit 12; 26S proteasome non-ATPase regulatory subunit 1-like protein; 26S proteasome regulatory subunit p55; 26S proteasome regulatory subunit RPN5; AI480719; fc34f08; MGC75406; P55; proteasome (prosome, macropain) 26S subunit, non-ATPase, 12; proteasome 26S non-ATPase subunit 12; proteasome 26S subunit non-ATPase 12; proteasome 26S subunit, non-ATPase 12; PSMD12; psmd12 protein; Rpn5; similar to proteasome 26S non-ATPase subunit 12 isoform 2; wu:fb38a06; wu:fc34f08; wu:fc49f02 | |
| Rabbit | |
| Antigen affinity chromatography | |
| RUO | |
| 5718 | |
| Store at 4°C short term. For long term storage, store at -20°C, avoiding freeze/thaw cycles. | |
| Liquid |
| Immunohistochemistry (Paraffin), Western Blot, Immunocytochemistry | |
| 0.1 mg/mL | |
| PBS with 40% glycerol and 0.02% sodium azide; pH 7.2 | |
| O00232 | |
| PSMD12 | |
| Recombinant protein corresponding to Human PSMD12. Recombinant protein control fragment (Product #RP-93548). | |
| 100 μL | |
| Primary | |
| Human | |
| Antibody | |
| IgG |
Product Content Correction
Your input is important to us. Please complete this form to provide feedback related to the content on this product.
Product Title
Spot an opportunity for improvement?Share a Content Correction