missing translation for 'onlineSavingsMsg'
Learn More

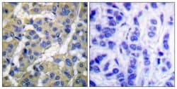
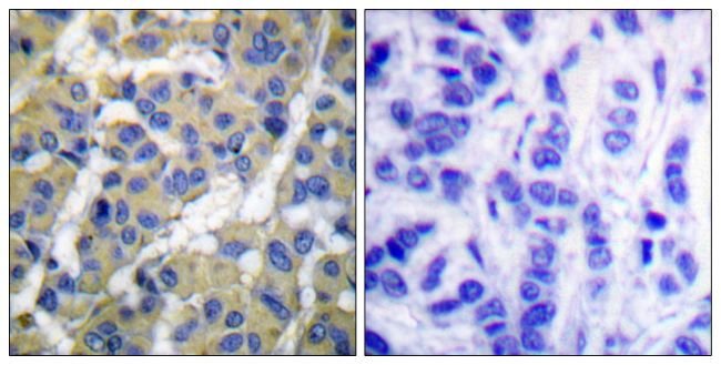
Phospho-Cytokeratin 8 (Ser73) Polyclonal Antibody, Invitrogen™

Rabbit Polyclonal Antibody

Brand:  Invitrogen PA538072

Product Code. 15535001

  • £415.09 / 100µg

Please to purchase this item. Need a web account? Register with us today!

This item is not returnable. View return policy

Description

Description

Cytokeratin 8 belongs to the type B (basic) subfamily of high molecular weight keratins and exists in combination with cytokeratin 18. Cytokeratin 8 is primarily found in the non squamous epithelia and is present in majority of adenocarcinomas and ductal carcinomas. It is absent in squamous cell carcinomas. Hepatocellular carcinomas are defined by the use of antibodies that recognize only cytokeratin polypeptides 8 and 18.
TRUSTED_SUSTAINABILITY
Specifications

Specifications

Phospho-Cytokeratin 8 (Ser73)
Polyclonal
Unconjugated
KRT8
CK 8, CK8, CYK8, Cytokeratin endo A, K2C8, K8, KRT2-8, KRT8, Keratin, type II cytoskeletal 8, cytokeratin 8
Rabbit
Antigen affinity chromatography
RUO
16691, 3856
-20°C
Liquid
Immunohistochemistry (Paraffin), Western Blot
1 mg/mL
Dulbecco′s PBS with 150mM NaCl, 50% glycerol and 0.02% sodium azide; pH 7.4
P05787, P11679
KRT8
A synthetic phosphopeptide derived from human Keratin 8 around the phosphorylation site of Ser73 (L-L-SP-P-L)
100 μg
Primary
Human, Mouse
Antibody
IgG
Product Suggestions

Product Suggestions

Videos
SDS
Documents

Documents

Certificates
Promotions

Promotions

Product Content Correction

Your input is important to us. Please complete this form to provide feedback related to the content on this product.

Product Title

By clicking Submit, you acknowledge that you may be contacted by Fisher Scientific in regards to the feedback you have provided in this form. We will not share your information for any other purposes. All contact information provided shall also be maintained in accordance with our Privacy Policy.

Thank You! Your feedback has been submitted. Fisher Scientific is always working to improve our content for you. We appreciate your feedback.